Jump to content
In this section we have spot diagnoses posted on a daily basis since June 2010, now over 4000! You can review the archived cases and read the suggested diagnoses by users and the final comment by the contributors.
Case are uploaded each week day by 10 am UK time with the correct diagnosis will generally be posted at 8 pm UK time. Why not view the most recent spot diagnosis and proffer a diagnosis?

Case Number : Case 55 Posted By: Guest

Please read the clinical history and view the images by clicking on them before you proffer your diagnosis.
Submitted Date :
   (0 reviews)

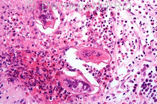
Schistosomiasis


  Report Record

User Feedback


Admin_Dermpath

Posted

Phillip McKee - Overseas consultations (USA) Wrote:

Good morning all. Of course you are all correct. I put this image in because it is so seldom that one manages to see the spine. Well done. Phillip

Submitted on 25/08/2010 13:34
________________________________________
Marwa Fawzi - Dermatology Department, Faculty of Medicine, Cairo University (Egypt) Wrote:

Schistosomiasis

Submitted on 25/08/2010 09:28
________________________________________
Mona Abdel-Halim - Dermatology Department, Faculty of Medicine, Cairo University (Egypt) Wrote:

Sorry, I meant: the few cases that we saw were so evident!!!

Submitted on 25/08/2010 08:40
________________________________________
Mona Abdel-Halim - Dermatology Department, Faculty of Medicine, Cairo University (Egypt) Wrote:

Dear Dr Kayne, actually the bilharzial ova is so characteristic especially if the spine is visible. Don't know any differentials for it. These cases are rare nowadays with the early use of anti-bilharzial drugs. The few cases that we saw was so evident and we did not use ZN.

Submitted on 25/08/2010 08:37
________________________________________
Alistair Kayne - (UK) Wrote:

I agree beautiful case of Schistosomiasis. From our Egyptian colleagues are there any differentials? Do you usually perform a ZN stain?

Submitted on 25/08/2010 07:06
________________________________________
Eman El-Nabarawy - Cairo University (Egypt) Wrote:

Apical spine of the eggs is characteristic for S.hematobium type endemic in Middle east and Africa.

Submitted on 25/08/2010 00:31
________________________________________
Eman El-Nabarawy - Cairo University (Egypt) Wrote:

Schistosomiasis.

Submitted on 24/08/2010 23:55
________________________________________
Mona Abdel-Halim - Dermatology Department, Faculty of Medicine, Cairo University (Egypt) Wrote:

Schistosoma eggs within microabscesses containing numerous esinophils. Gorgeous!!!

Submitted on 24/08/2010 23:49
________________________________________

Share this comment


Link to comment
share_externally


×
×
  • Create New...