Jump to content
In this section we have spot diagnoses posted on a daily basis since June 2010, now over 4000! You can review the archived cases and read the suggested diagnoses by users and the final comment by the contributors.
Case are uploaded each week day by 10 am UK time with the correct diagnosis will generally be posted at 8 pm UK time. Why not view the most recent spot diagnosis and proffer a diagnosis?

Case Number : Case 19 Posted By: Guest

Please read the clinical history and view the images by clicking on them before you proffer your diagnosis.
Submitted Date :
   (0 reviews)

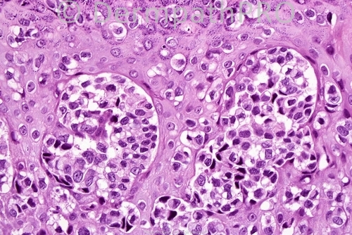
EXTRA-MAMMARY PAGET'S DISEASE


  Report Record

User Feedback


Admin_Dermpath

Posted

Phillip McKee - Overseas concultations (USA) Wrote:

Well, what is there left for me to say? You all did well covering the list of differential diagnoses. The diagnosis on this field is impossible without immunohistochemistry. The final diagnoses however was extra-mammary Paget's disease

Submitted on 06/07/2010 21:20
________________________________________
Doru Chirita - Central Clinical Military Hospital (Bucharest) Wrote:

pagetoid squamous cell carcinoma

Submitted on 06/07/2010 18:53
________________________________________
Wayne Grayson - (Johannesburg, South Africa) Wrote:

Favour Paget's disease, but can't rule out an epidermotropic metastatic carcinoma or melanoma.

Submitted on 06/07/2010 18:32
________________________________________
Marwa M. Fawzi - Dermatology Department,Faculty of Medicine, Cairo university (Egypt) Wrote:

I see assymetrical proliferation of atypical melanocytes,many of them are pagetoid,so pagetoid melanoma is my spot diagnosis

Submitted on 06/07/2010 17:04
________________________________________
Carlos B. - (Spain) Wrote:

Paget's disease.

Submitted on 06/07/2010 15:33
________________________________________
Mo - (India) Wrote:

Pajets versus MM. It is helpful to see the basal layer to differentiate between the two.

Submitted on 06/07/2010 15:31
________________________________________
Jonathan shelton - (UK) Wrote:

Beautiful case. Great pic. I agree with diagnoses and think pajets and melanoma are high up on my list. Langerhans cell histioctosis, sebaceous carcinoma and pajetoid reticulosis also show similar picture.

Submitted on 06/07/2010 15:28
________________________________________
Phillip McKee - Overseas consultations (USA) Wrote:

Good differential diagnoses

Submitted on 06/07/2010 13:01
________________________________________
Mona Abdel Halim - Dermatology Department, Faculty of Medicine, Cairo University (Egypt) Wrote:

As Dr McKee advised us before I will think in terms of DDx: Melanoma with pagetoid melanocytes. Less likely: Paget's disease, Bowen's disease.

Submitted on 06/07/2010 06:03
________________________________________
Eman El-Nabarawy - Dermatology Department,Faculty of Medicine, Cairo university. (Egypt.) Wrote:

Paget's disease. DD: Pagetoid melanoma. Bowen's disease.

Submitted on 06/07/2010 05:23
________________________________________
Nooshin Brinster - VCU (Richmond, VA) Wrote:

I would add an epidermotropic lymphoma to the differential.

Submitted on 06/07/2010 03:14
________________________________________
Rodrigo R. - UPB (Mdell/Col) Wrote:

Paget disease. DD pagetoid melanoma. In situ squamous cell carcinoma. Porocarcinoma

Submitted on 06/07/2010 01:00
________________________________________

Share this comment


Link to comment
share_externally


×
×
  • Create New...