Case Number : Case 35 Posted By: Guest
Please read the clinical history and view the images by clicking on them before you proffer your diagnosis.
Submitted Date :
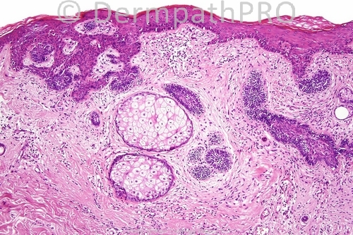
Trichoblastoma-like proliferation in nevus sebaceus

User Feedback