Jump to content
In this section we have spot diagnoses posted on a daily basis since June 2010, now over 4000! You can review the archived cases and read the suggested diagnoses by users and the final comment by the contributors.
Case are uploaded each week day by 10 am UK time with the correct diagnosis will generally be posted at 8 pm UK time. Why not view the most recent spot diagnosis and proffer a diagnosis?

Case Number : Case 74 Posted By: Guest

Please read the clinical history and view the images by clicking on them before you proffer your diagnosis.
Submitted Date :
   (0 reviews)

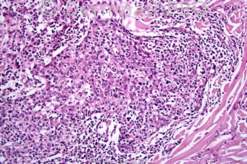
Lymphoepithelioma-like carcinoma


  Report Record

User Feedback


Admin_Dermpath

Posted

Phillip McKee - Overseas consultations (Arizona, USA) Wrote:

Well done all of you who diagnosed this lesion as lymphoepithelioma-like carcinoma. It comes from a primary cutaneous lesion. Folliculotropic MF and lymphadenoma cutis are good differential diagnoses. Remember that you do not always have follicular mucinosis in folliculotropic MF. Thanks you all for your contributions.

Submitted on 21/09/2010 20:56
________________________________________
Lushen Pillay - Wits Dermatology, South Africa (South Africa) Wrote:

Mycosis Fungoides.

Submitted on 21/09/2010 19:27
________________________________________
Miguel Sanz - UAH (Spain) Wrote:

I also agree with lymphoepithelioma-like carcinoma. I do not recognize the mucinous change of the folliculotropic MF. I do not see the trichoblastomatous appearance of the cutaneous lymphadenoma.

Submitted on 21/09/2010 18:51
________________________________________
Richard Carr - Warwick (UK) Wrote:

I only suggested LELC as a differntial to consider. Trouble is that was my first and only thought!! I am glad Eman you are sticking with your first diagnosis which seems very reasonable to me. Remember Phillip told us only this yesterday to stay with our first diagnosis. Good luck and regards, Richard

Submitted on 21/09/2010 17:15
________________________________________
Wayne Grayson - (Johannesburg, South Africa) Wrote:

I think this is folliculotropic MF. I also entertained the possibility of a cutaneous lymphadenoma. Since one has considered the latter, it would probably be wise to also include a lymphoepithelioma-like carcinoma in the differential diagnosis.

Submitted on 21/09/2010 16:51
________________________________________
Eman El-Nabarawy - Cairo University (Egypt) Wrote:

I like the idea of lymphoepithelioma-like carcinoma, but the squamous cells are all small in size and all the lymphocytes seems to be haloed with some large ones, may be Pautrier abcesses? Still favor Folliculotropic MF.

Submitted on 21/09/2010 14:11
________________________________________
Amira Tawdy - Cairo University (Egypt) Wrote:

I do not have the impression that it is a malignant neoplasm I think it is lymphoepithelial like tumor of the skin (cut. lymphadenoma)

Submitted on 21/09/2010 14:01
________________________________________
Marcela Saeb Lima - MSLDermatopato (Mexico City) Wrote:

Lymphoepitelioma like carcinoma agree with Dr. Carr

Submitted on 21/09/2010 13:24
________________________________________
Marwa Fawzi - Dermatology Department, Faculty of Medicine, Cairo University (Egypt) Wrote:

I agree with lymphoepithelioma-like carcinoma[an island of large epithelial cells with vesicular nucleus and large nucleolus,surrounded with lymphocytic infilterate &plasmacytoid cells]

Submitted on 21/09/2010 11:12
________________________________________
Richard Carr - Warwick (UK) Wrote:

I will add a differential of lymphoepithelioma-like carcinoma.

Submitted on 21/09/2010 09:17
________________________________________
Mona Abdel-Halim - Dermatology Department, Faculty of Medicine, Cairo University (Egypt) Wrote:

I can see clearly haloed lymphocytes and wiry fibrosis with the lymphocytes arranged along the wiry collagen fibres. This is certainly Mycosis Fungoides. I agree that the centrally situated epithelial like cells could represent a hair follicle, so follicular MF sounds a nice idea.

Submitted on 21/09/2010 05:16
________________________________________
Eman El-Nabarawy - Cairo University (Egypt) Wrote:

Certainly I agree. Follicular MF.

Submitted on 21/09/2010 04:25
________________________________________
Juan Carlos Garcés - Hospital Oncológico / Hospital Luis Vernaza (Guayaquil Ecuador) Wrote:

Good evening sir ... Folliculotropic Mycosis fundoides?

Submitted on 21/09/2010 00:40
________________________________________

Share this comment


Link to comment
share_externally


×
×
  • Create New...