Jump to content
In this section we have spot diagnoses posted on a daily basis since June 2010, now over 4000! You can review the archived cases and read the suggested diagnoses by users and the final comment by the contributors.
Case are uploaded each week day by 10 am UK time with the correct diagnosis will generally be posted at 8 pm UK time. Why not view the most recent spot diagnosis and proffer a diagnosis?

Case Number : Case 301 Posted By: Guest

Please read the clinical history and view the images by clicking on them before you proffer your diagnosis.
Submitted Date :
   (0 reviews)

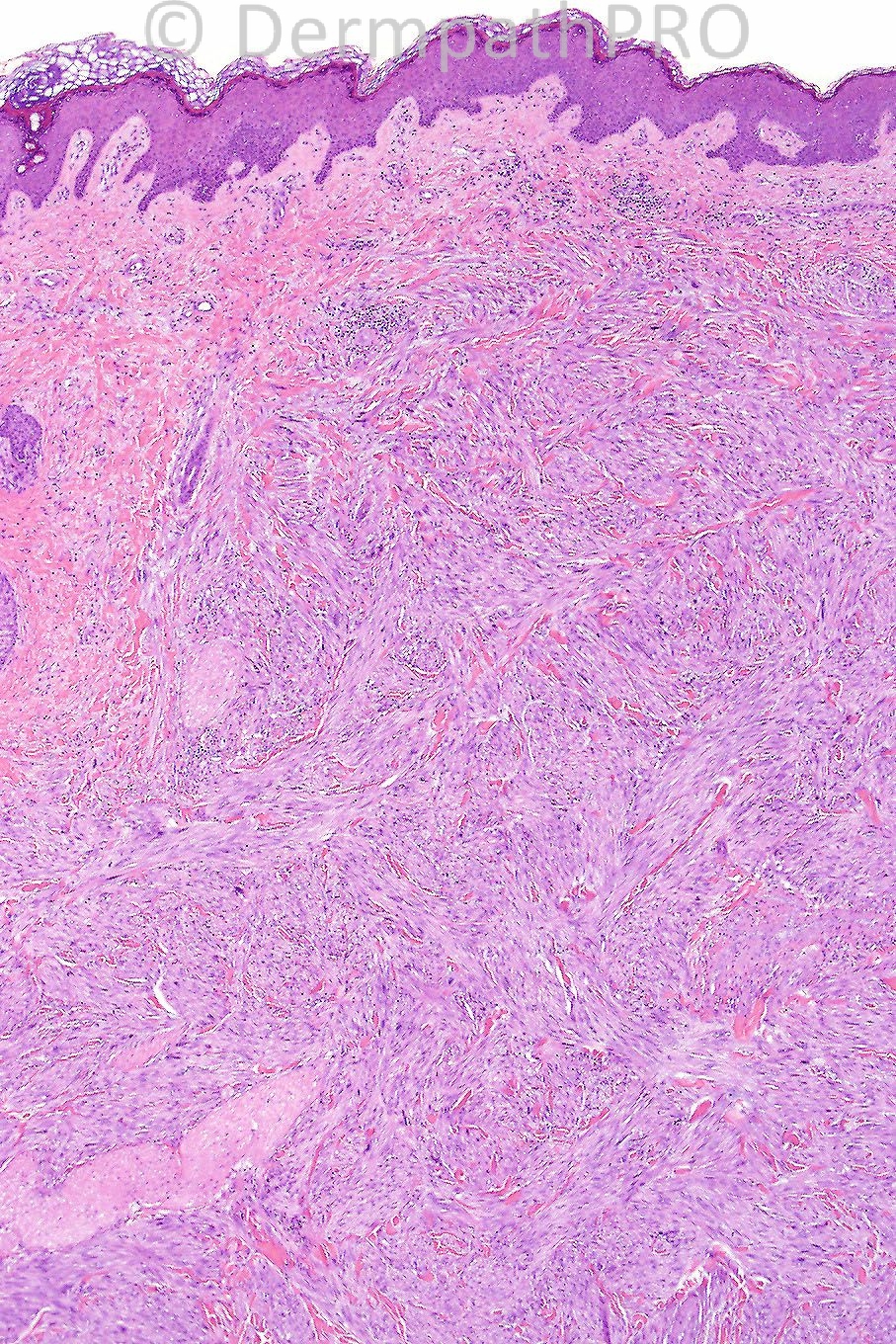
Male 60 years, tumor on leg.


  Report Record

User Feedback


Admin_Dermpath

Posted

Phillip McKee - Overseas consultations (Cave Creek, USA) Wrote:

The diagnosis is leiomyosarcoma confirmed with immunohistochemistry. I will be on vacation from tomorrow until August 24th. Iskander will kindly be looking after the spot diagnoses in my absense.

Submitted on 04/08/2011 14:01
________________________________________
Paris Ramos - INCMNSZ (Mexico ) Wrote:

Anaplastic leyiomiosarcoma

Submitted on 04/08/2011 12:50
________________________________________
Marcela Saeb Lima - (Mexico City) Wrote:

Leiomyosarcoma

Submitted on 04/08/2011 12:25
________________________________________
Rodrigo Restrepo - upb-ces (Colombia) Wrote:

Spindel cell sarcoma.

Submitted on 04/08/2011 12:05
________________________________________
Juan Carlos Garcés - Hospital Oncológico / Hospital Luis Vernaza (Guayaquil Ecuador) Wrote:

High grade spindel cell sarcoma.

Submitted on 04/08/2011 10:10
________________________________________
Marie MD - (NY) Wrote:

Leiomyosarcoma

Submitted on 04/08/2011 09:47
________________________________________
Mona Abdel Halim - Dermatology department, Faculty of medicine, Cairo university (Egypt) Wrote:

Favor leiomyosarcoma,

Submitted on 04/08/2011 09:43
________________________________________
Pablo Ortega - Hospital Isidro Ayora -Dermatopathology Department (Loja-Ecuador) Wrote:

agree with leiomyosarcoma, nodular pattern.

Submitted on 04/08/2011 08:53
________________________________________
Francisco Vilchez - Department of Dermatology. Virgen de la Victoria Clinical Universitary Hospital. (Málaga (Spain)) Wrote:

Possibly it is a leiomyosarcoma, though I´m not completely sure.

Submitted on 04/08/2011 08:27
________________________________________
Diana Alvarez - () Wrote:

I favour leiomyosarcoma

Submitted on 04/08/2011 07:11
________________________________________
ANDREW DANCKWERTS - NHLS / WITS UNIVERSITY (JOHANNESBURG, RSA) Wrote:

HIGH GRADE SARCOMA. I FAVOUR LEIOMYOSARCOMA. DDx: MPNST; SYNOVIAL SARCOMA (MONOPHASIC); SPINDLED CELL CARCINOMA AND MELANOMA. ONE WOULD REQUIRE IMMUNOHISTOCHEMISTRY TO DIFFERENTIATE BETWEEN THE ABOVE ENTITIES.

Submitted on 04/08/2011 06:06
________________________________________
Hazem Hamed - Department of Histopathology, Imperial College London (LONDON) Wrote:

High grade spindle cell sarcoma in keeping with Leiomyosarcoma. Immunohistochemistry is required to confirm.

Submitted on 04/08/2011 04:47
________________________________________

Share this comment


Link to comment
share_externally

Admin_Dermpath

Posted

Phillip McKee - Overseas consultations (Cave Creek, USA) Wrote:

The diagnosis is leiomyosarcoma confirmed with immunohistochemistry. I will be on vacation from tomorrow until August 24th. Iskander will kindly be looking after the spot diagnoses in my absense.

Submitted on 04/08/2011 14:01
________________________________________
Paris Ramos - INCMNSZ (Mexico ) Wrote:

Anaplastic leyiomiosarcoma

Submitted on 04/08/2011 12:50
________________________________________
Marcela Saeb Lima - (Mexico City) Wrote:

Leiomyosarcoma

Submitted on 04/08/2011 12:25
________________________________________
Rodrigo Restrepo - upb-ces (Colombia) Wrote:

Spindel cell sarcoma.

Submitted on 04/08/2011 12:05
________________________________________
Juan Carlos Garcés - Hospital Oncológico / Hospital Luis Vernaza (Guayaquil Ecuador) Wrote:

High grade spindel cell sarcoma.

Submitted on 04/08/2011 10:10
________________________________________
Marie MD - (NY) Wrote:

Leiomyosarcoma

Submitted on 04/08/2011 09:47
________________________________________
Mona Abdel Halim - Dermatology department, Faculty of medicine, Cairo university (Egypt) Wrote:

Favor leiomyosarcoma,

Submitted on 04/08/2011 09:43
________________________________________
Pablo Ortega - Hospital Isidro Ayora -Dermatopathology Department (Loja-Ecuador) Wrote:

agree with leiomyosarcoma, nodular pattern.

Submitted on 04/08/2011 08:53
________________________________________
Francisco Vilchez - Department of Dermatology. Virgen de la Victoria Clinical Universitary Hospital. (Málaga (Spain)) Wrote:

Possibly it is a leiomyosarcoma, though I´m not completely sure.

Submitted on 04/08/2011 08:27
________________________________________
Diana Alvarez - () Wrote:

I favour leiomyosarcoma

Submitted on 04/08/2011 07:11
________________________________________
ANDREW DANCKWERTS - NHLS / WITS UNIVERSITY (JOHANNESBURG, RSA) Wrote:

HIGH GRADE SARCOMA. I FAVOUR LEIOMYOSARCOMA. DDx: MPNST; SYNOVIAL SARCOMA (MONOPHASIC); SPINDLED CELL CARCINOMA AND MELANOMA. ONE WOULD REQUIRE IMMUNOHISTOCHEMISTRY TO DIFFERENTIATE BETWEEN THE ABOVE ENTITIES.

Submitted on 04/08/2011 06:06
________________________________________
Hazem Hamed - Department of Histopathology, Imperial College London (LONDON) Wrote:

High grade spindle cell sarcoma in keeping with Leiomyosarcoma. Immunohistochemistry is required to confirm.

Submitted on 04/08/2011 04:47
________________________________________

Share this comment


Link to comment
share_externally


×
×
  • Create New...