Case Number : Case 303 Posted By: Guest
Please read the clinical history and view the images by clicking on them before you proffer your diagnosis.
Submitted Date :
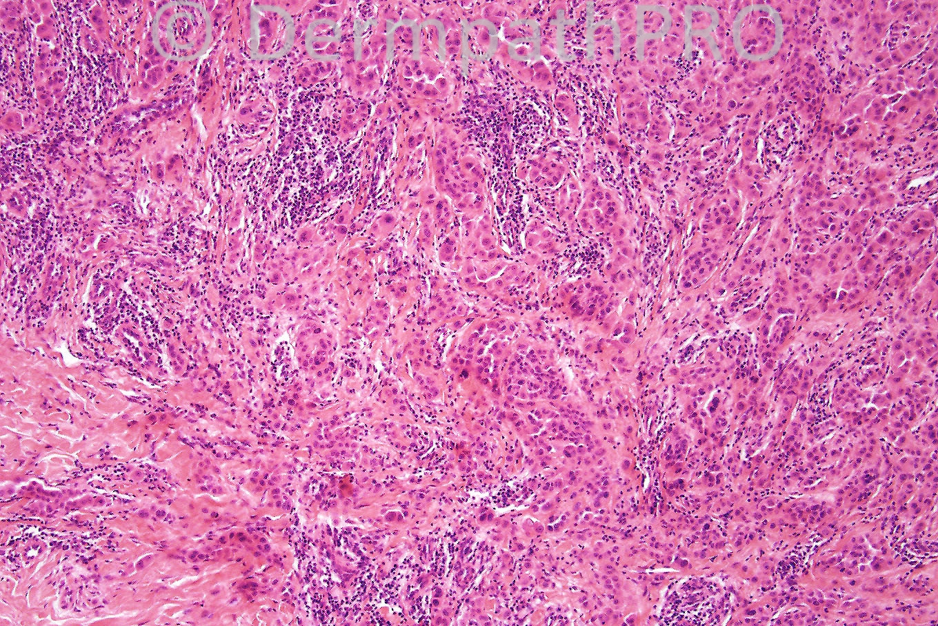
Female 18 years, red nodule on back with surrounding pale halo.

User Feedback