Jump to content
In this section we have spot diagnoses posted on a daily basis since June 2010, now over 4000! You can review the archived cases and read the suggested diagnoses by users and the final comment by the contributors.
Case are uploaded each week day by 10 am UK time with the correct diagnosis will generally be posted at 8 pm UK time. Why not view the most recent spot diagnosis and proffer a diagnosis?

Case Number : Case 309 Posted By: Guest

Please read the clinical history and view the images by clicking on them before you proffer your diagnosis.
Submitted Date :
   (0 reviews)

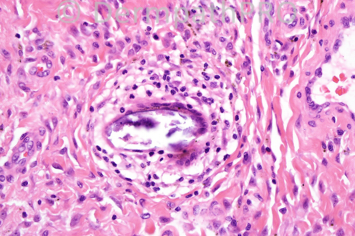
Female 33 years, vulval nodules.


  Report Record

User Feedback


Admin_Dermpath

Posted

Iskander H. Chaudhry - Central Manchester NHS Trust (Manchester, UK) Wrote:

The diagnosis is cutaneous Schistosomiasis. No extra marks for the Egyptian dermatopathologists and for that matter anyone from SA! Regards

Submitted on 17/08/2011 04:48
________________________________________
Eman El-Nabarawy - Cairo University (Egypt) Wrote:

Cutaneous Schistosomiasis.

Submitted on 16/08/2011 18:19
________________________________________
Pablo Ortega - "Isidro Ayora" Hospital - Dermatopathology Department (Loja-Ecuador) Wrote:

Schistosomiasis

Submitted on 16/08/2011 09:44
________________________________________
Marwa Fawzi - Dermatology Department, Faculty of Medicine, Cairo University (Egypt) Wrote:

Cutaneous Schistosomiasis

Submitted on 16/08/2011 06:56
________________________________________
Rodrigo Restrepo - UPB/CES (Mdlln/Col) Wrote:

Cutaneous Schistosomiasis

Submitted on 16/08/2011 06:02
________________________________________
Mona Abdel Halim - Dermatology Dept. Faculty of Medicine, Cairo University (Egypt) Wrote:

Bilharzial granuloma

Submitted on 16/08/2011 05:30
________________________________________
ANDREW DANCKWERTS - NHLS / WITS UNIVERSITY (JOHANNESBURG , RSA) Wrote:

CUTANEOUS SCHISTOSOMIASIS (VIABLE AND CALCIFIED OVA).

Submitted on 16/08/2011 05:25
________________________________________

Share this comment


Link to comment
share_externally


×
×
  • Create New...