Jump to content
In this section we have spot diagnoses posted on a daily basis since June 2010, now over 4000! You can review the archived cases and read the suggested diagnoses by users and the final comment by the contributors.
Case are uploaded each week day by 10 am UK time with the correct diagnosis will generally be posted at 8 pm UK time. Why not view the most recent spot diagnosis and proffer a diagnosis?

Case Number : Case 313 Posted By: Guest

Please read the clinical history and view the images by clicking on them before you proffer your diagnosis.
Submitted Date :
   (0 reviews)

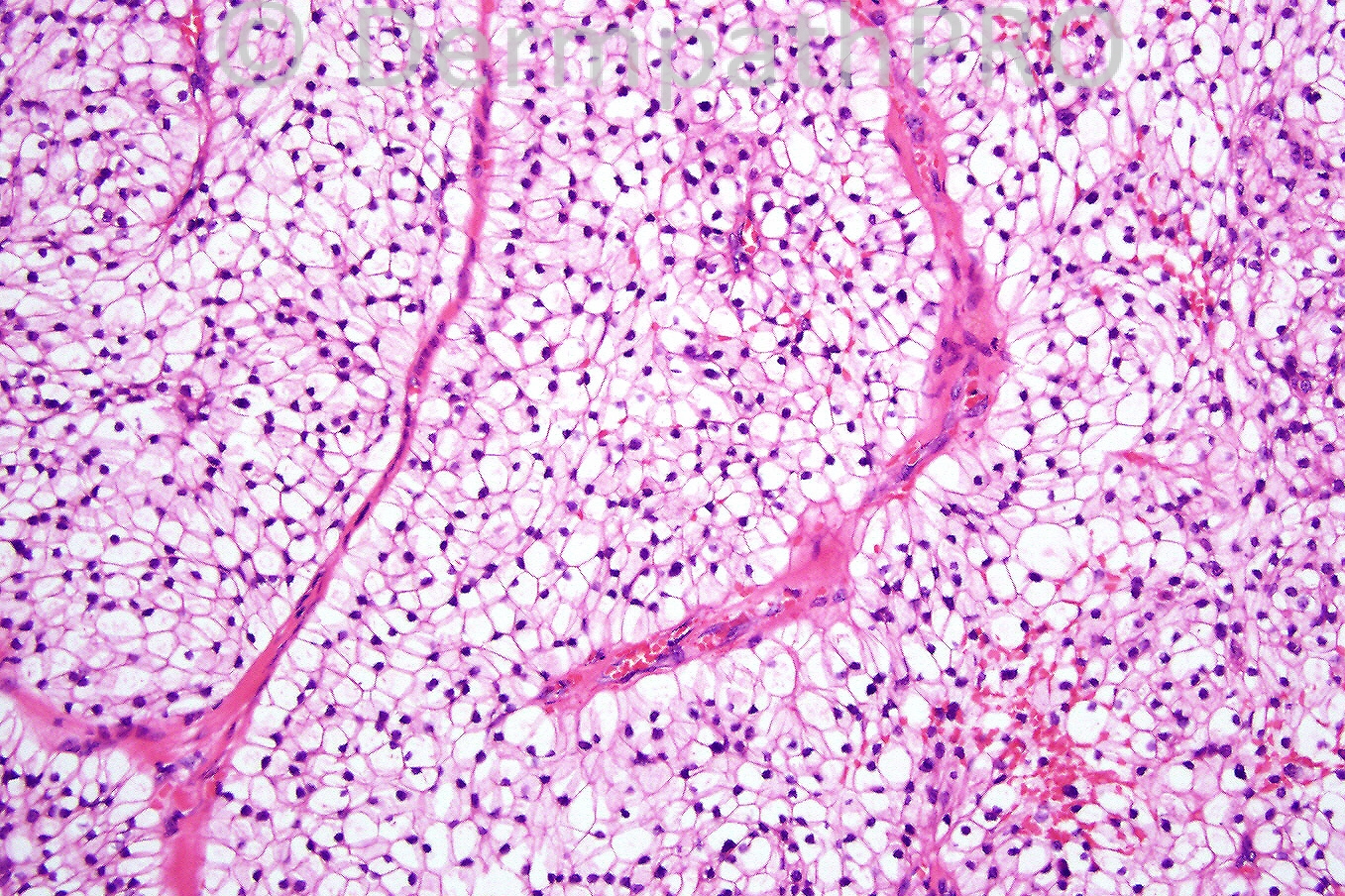
Male 54 years, lesion on leg.


  Report Record

User Feedback


Admin_Dermpath

Posted

Iskander Chaudhry - Central Manchester NHS Trust (Manchester UK) Wrote:

Hi Mona, my understanding is hidradenomas are not connected to the epidermis and that is how you would make the distinction!

Submitted on 25/08/2011 11:40
________________________________________
Mona Abdel Halim - Dermatology Department, Faculty of medicine, Cairo University (Egypt) Wrote:

Dear Dr Iskandar, is the only clue for poroma here the epidermal connection? The connection is focal and not broad based and hidradenomas can show focal epidermal connection in up to 25% of cases. Or is it because the connection apperas to be related to the intraepidermal portion of the eccrine sweat duct (acrosyringium) as it might be percieved in the last image?

Submitted on 23/08/2011 07:26
________________________________________
Iskander Chaudhry - Central Manchester Trust (Manchester, U.K.) Wrote:

The diagnosis is Clear cell poroma. I difference between this and your suggested diagnoses is the epidermal connection. Better luck tomorrow.

Submitted on 23/08/2011 05:21
________________________________________
Rodrigo Restrepo - UPB/CES (Mdlln/Col) Wrote:

Clear cell hidradenoma

Submitted on 22/08/2011 19:10
________________________________________
Marwa Fawzi - Dermatology Department, Faculty of Medicine, Cairo University (Egypt) Wrote:

Clear cell hidradenoma

Submitted on 22/08/2011 14:57
________________________________________
Juan Carlos Garcés - Hospital Oncológico / Hospital Luis Vernaza (Guayaquil Ecuador) Wrote:

Clear cell hidradenoma

Submitted on 22/08/2011 11:48
________________________________________
Amira Tawdy - Cairo University (Egypt) Wrote:

I agree with clear cell hidradenoma but I just wonder could we add sebaceous neoplasm in the d.d or not?

Submitted on 22/08/2011 10:32
________________________________________
Marie MD - () Wrote:

clear cell hidradenoma

Submitted on 22/08/2011 09:44
________________________________________
Marcela Saeb Lima - (Mexico City) Wrote:

Clear cell hidradenoma, very nice excercise in the approach of this case.... really liked it for a monday

Submitted on 22/08/2011 06:24
________________________________________
Mona Abdel Halim - Dermatology Dept. Faculty of Medicine, Cairo University (Egypt) Wrote:

Clear cell hidradenoma (ductal structures with esinophilic cuticles r evident)

Submitted on 22/08/2011 05:12
________________________________________
ANDREW DANCKWERTS - NHLS / WITS UNIVERSITY (JOHANNESBURG, RSA) Wrote:

BENIGN SKIN APPENDAGE TUMOUR WITH A PROMINENT CLEAR CELL MORPHOLOGY. I FAVOUR A CLEAR CELL HIDRADENOMA.

Submitted on 22/08/2011 04:54
________________________________________

Share this comment


Link to comment
share_externally


×
×
  • Create New...