Jump to content
In this section we have spot diagnoses posted on a daily basis since June 2010, now over 4000! You can review the archived cases and read the suggested diagnoses by users and the final comment by the contributors.
Case are uploaded each week day by 10 am UK time with the correct diagnosis will generally be posted at 8 pm UK time. Why not view the most recent spot diagnosis and proffer a diagnosis?

Case Number : Case 317 Posted By: Guest

Please read the clinical history and view the images by clicking on them before you proffer your diagnosis.
Submitted Date :
   (0 reviews)

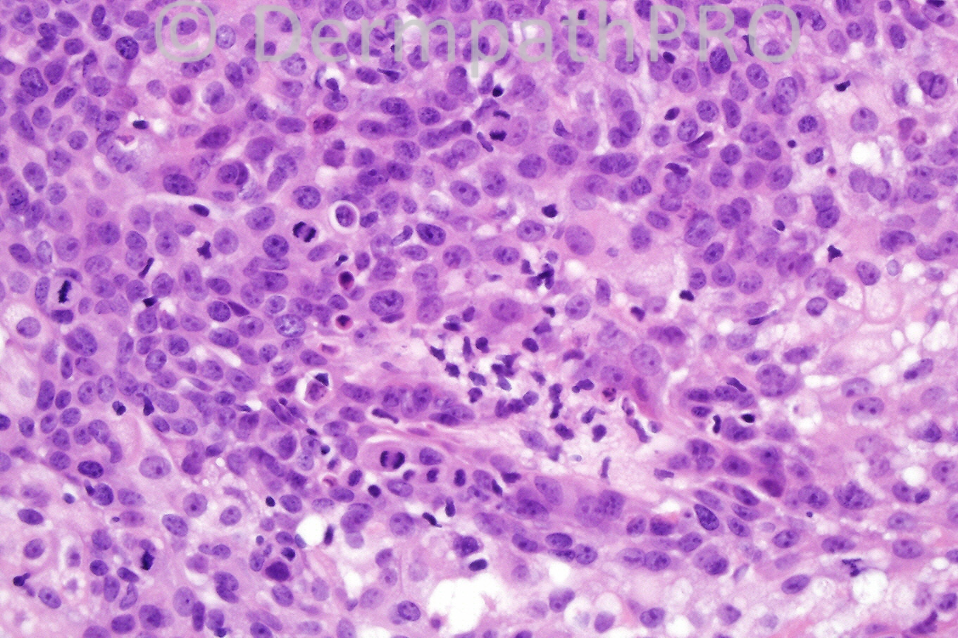
Female 82 years, papule on cheek.


  Report Record

User Feedback


Admin_Dermpath

Posted

Phillip McKee - Overseas consultations (Cave Creek, Arizona, USA) Wrote:

The correct diagnosis is sebaceous adenoma. In the latter condition, the architecture of the sebaceous gland is maintained with basaloid cells at the periphery and sebocytes in the center. Rarely, sebaceous adenoma is much larger and may be mitotically active. This should not be misdiagnosed as sebaceous carcinoma. In sebaceoma, the sebaceous architecture is lost, the tumor is multinodular, has a fibrous stroma and cysts are common.

Submitted on 26/08/2011 11:43
________________________________________
Juan Carlos Garcés - Hospital Oncológico / Hospital Luis Vernaza (Guayaquil Ecuador) Wrote:

Sebaceous Adenoma

Submitted on 26/08/2011 09:40
________________________________________
Marie MD - () Wrote:

sebaceous adenoma

Submitted on 26/08/2011 09:35
________________________________________
Marwa Fawzi - Dermatology Department, Faculty of Medicine, Cairo University (Egypt) Wrote:

I can see multivacuolated cytoplasmic clear cell changes &cellular atypia in fig 4 so my impression is extraocular sebaceous carcinoma.

Submitted on 26/08/2011 06:44
________________________________________
Mona Abdel Halim - Dermatology Dept., Faculty of medicine, Cairo University (Egypt) Wrote:

I will favor sebaceous adenoma as the lesion is made of sharply circumscribed lobules separ aged by compressed connective tissue. The architecture also is typical with the lesion connected and openingthat surface. The mature sebocytes are well centered in each lobule. The clefts that separate the tumor from the surrounding normal dermis are beautifully proofing the benign nature. The bubbly appearance of the sebocytes is fantastic !!!!!!! I would search for GIT carcinoma here to exclude Muir Torre Syndrome.

Submitted on 26/08/2011 06:20
________________________________________
Marcela Saeb Lima - Instituto Nacional de Ciencias Médicas y Nutrición Salvador Zubirán (Mexico City) Wrote:

Sebaceoma

Submitted on 26/08/2011 06:12
________________________________________
ANDREW DANCKWERTS - NHLS / WITS UNIVERSITY (JOHANNESBURG, RSA) Wrote:

SEBACEOMA.

Submitted on 26/08/2011 05:19
________________________________________
Eman El-Nabarawy - Cairo University (Egypt) Wrote:

Sebaceoma.

Submitted on 26/08/2011 04:56
________________________________________

Share this comment


Link to comment
share_externally


×
×
  • Create New...