Case Number : Case 390 Posted By: Guest
Please read the clinical history and view the images by clicking on them before you proffer your diagnosis.
Submitted Date :
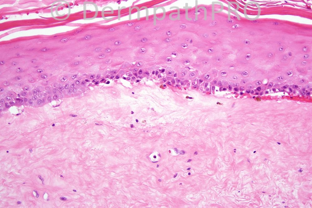
Female 53 years, extensive, ulcerated breast lesion.

User Feedback