Case Number : Case 396 Posted By: Guest
Please read the clinical history and view the images by clicking on them before you proffer your diagnosis.
Submitted Date :
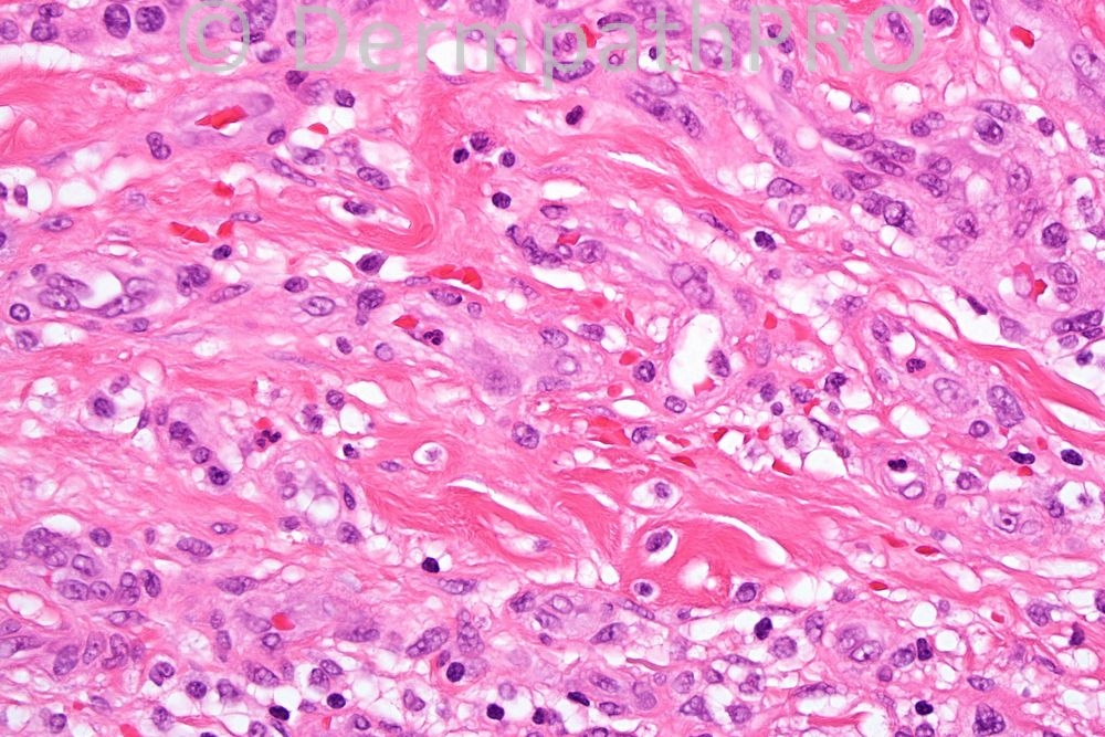
Female 30 years, lesion on thigh clinically hemangioma.

User Feedback