Jump to content
In this section we have spot diagnoses posted on a daily basis since June 2010, now over 4000! You can review the archived cases and read the suggested diagnoses by users and the final comment by the contributors.
Case are uploaded each week day by 10 am UK time with the correct diagnosis will generally be posted at 8 pm UK time. Why not view the most recent spot diagnosis and proffer a diagnosis?

Case Number : Case 407 Posted By: Guest

Please read the clinical history and view the images by clicking on them before you proffer your diagnosis.
Submitted Date :
   (0 reviews)

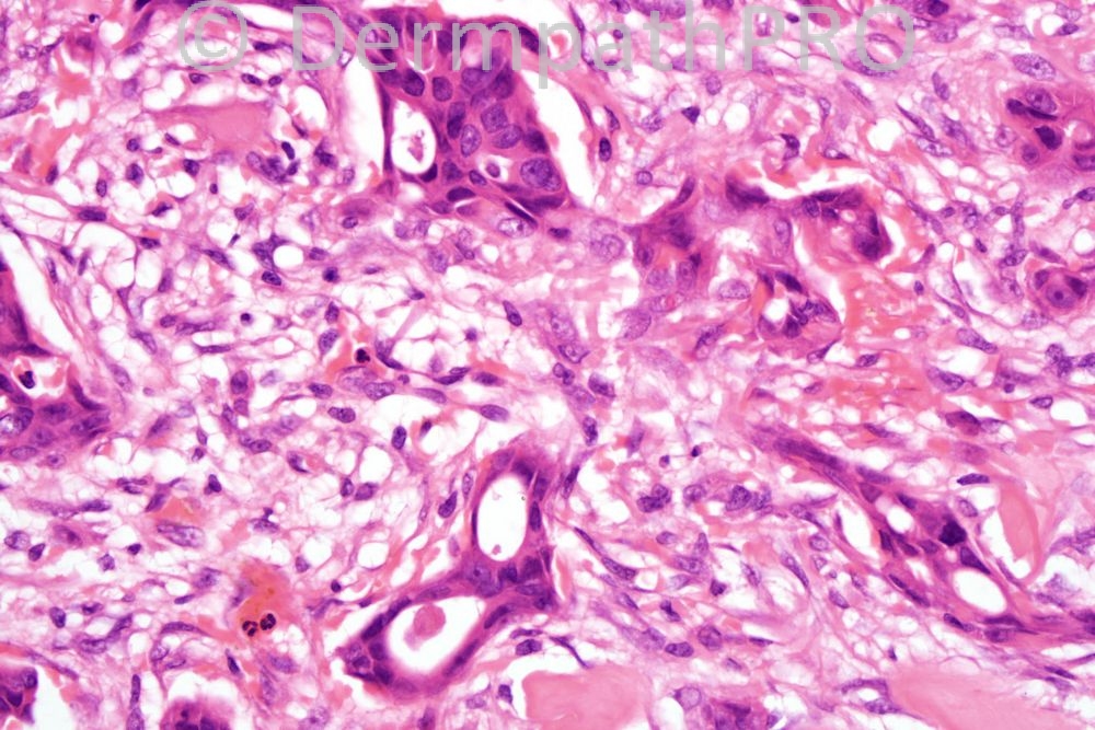
Male 71 years, clinically SCC ear.


  Report Record

User Feedback


Admin_Dermpath

Posted

Richard Carr - Warwick (UK) Wrote:

how about tubular apocrine adenocarcinoma

Submitted on 04/01/2012 21:35
________________________________________

Iskander H. Chaudhry - Central Manchester NHS Trust (Manchester, UK) Wrote:

Yes well done the diagnosis was Syringoid carcinoma with apocrine differentiation (MAC). I wish you all a happy New Year. Phillip will be taking over from tomorrow.

Submitted on 03/01/2012 02:56
________________________________________

Marcela Saeb Lima - INCMNSZ (Mexico City) Wrote:

MAC Happy new year to everyone! My very best wishes!

Submitted on 30/12/2011 18:57
________________________________________

Eman El-Nabarawy - Cairo University (Egypt) Wrote:

MAC.

Submitted on 30/12/2011 15:42
________________________________________

Mona Abdel Halim - Dermatology Dept. Cairo Univ. (Egypt) Wrote:

HAPPY NEW YEAR !!!!!

Submitted on 30/12/2011 15:30
________________________________________

Mona Abdel Halim - Dermatology Dept. Cairo Univ. (Egypt) Wrote:

MAC

Submitted on 30/12/2011 14:58
________________________________________

Marwa Fawzy - Dermatology Department, Faculty of Medicine, Cairo University (Egypt) Wrote:

Microcystic adnexal carcinoma

Submitted on 30/12/2011 14:43
________________________________________

A Bansal - BCU HB (North Wales) Wrote:

?microcystic adnexal carcinoma (MAC) DD: desmoplastic trichoepithelioma

Submitted on 30/12/2011 14:23
________________________________________

Share this comment


Link to comment
share_externally


×
×
  • Create New...