Jump to content
In this section we have spot diagnoses posted on a daily basis since June 2010, now over 4000! You can review the archived cases and read the suggested diagnoses by users and the final comment by the contributors.
Case are uploaded each week day by 10 am UK time with the correct diagnosis will generally be posted at 8 pm UK time. Why not view the most recent spot diagnosis and proffer a diagnosis?

Case Number : Case 290 Posted By: Guest

Please read the clinical history and view the images by clicking on them before you proffer your diagnosis.
Submitted Date :
   (0 reviews)

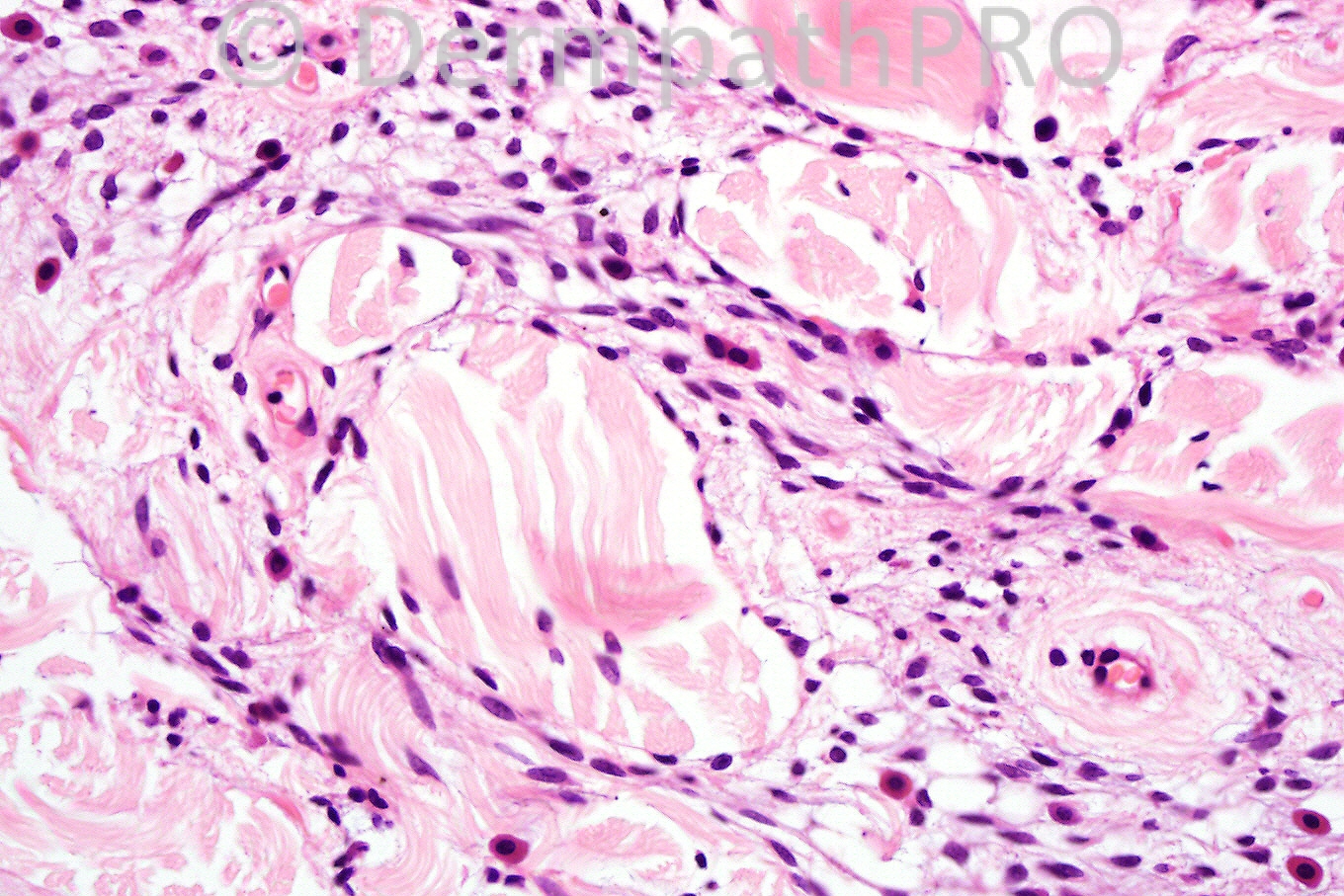
Male 62 years small tumor on shoulder.


  Report Record

User Feedback


Admin_Dermpath

Posted

Juan Carlos Garcés - Hospital Luis Vernaza / Hospital Oncológico (Guayaquil Ecuador) Wrote:

Good afternoon... Mast cells, nuclear inclusions.. I think it is a Spindle cell lipoma

Submitted on 20/07/2011 16:16
________________________________________
Phillip McKee - Overseas consultations (Cave Creek, Arizona, USA) Wrote:

The main features are the spindled cell population and the ropey collagen. The hyperchromatic giant cells are also a diagnostic clue. Given the clinical history, pleomorphic lipoma is the best diagnosis. Often with aging, the adipocytic component diminishes although it was present elsewhere in this specimen. Well done Marie.

Submitted on 20/07/2011 16:10
________________________________________
Mona Abdel Halim - Dermatology Department, Faculty of medicine, Cairo University (Egypt) Wrote:

Very late, although I have been seeing many difficult and challenging cases these pase 2 days, but I haven't seen soething like that yet!!!!! Liked all the comments but I think it fits more with spindle cell lipoma, have a sesiion on soft tissue tumors tomorrow, looking forward to it..

Submitted on 20/07/2011 15:23
________________________________________
Marwa Fawzi - Dermatology Department, Faculty of Medicine, Cairo University (Egypt) Wrote:

Dysplastic neurofibroma

Submitted on 20/07/2011 13:34
________________________________________
Eman El-Nabarawy - Cairo University (Egypt) Wrote:

Favour neurofibroma with atypical features (dysplstic)cause of large number of mast cells. DD ancient schwannoma or meningothelial hamartoma.

Submitted on 20/07/2011 12:47
________________________________________
Andrew Danckwerts - NHLS / Wits University (Johannesburg, RSA) Wrote:

Forgot to include spindle cell lipoma in my differential diagnosis. The lesion has classical ropey collagen with abundant mast cells. The age and site are also correct.

Submitted on 20/07/2011 12:42
________________________________________
Marie MD - () Wrote:

pleomorphic/spindle cell lipoma (adipocyte poor)...also thought of gc angiofibroma/sft

Submitted on 20/07/2011 11:59
________________________________________
Diana Alvarez - (The Netherlands) Wrote:

Spindle cell lipoma

Submitted on 20/07/2011 11:51
________________________________________
Richard Carr - Warwick (UK) Wrote:

Spindle cell lipoma

Submitted on 20/07/2011 10:18
________________________________________
Pablo Ortega - Hospital Isidro Ayora -Dermatopathology Department (Loja-Ecuador) Wrote:

difficult case, spindle cell tumor, probably neural. I see lots of mast cells, and in the last picture there is nuclear atypia. I favor to be Neurofibroma.

Submitted on 20/07/2011 08:53
________________________________________
Marcela Saeb Lima - Instituto Nacional de Ciencias Médicas y Nutrición Salvador Zubirán (Mexico City) Wrote:

spindle cell lipoma

Submitted on 20/07/2011 07:05
________________________________________
ANDREW DANCKWERTS - NHLS / WITS UNIVERSITY (JOHANNESBURG, RSA) Wrote:

I FAVOUR DIFFUSE NEUROFIBROMA WITH ANCIENT CHANGE. DDx INCLUDES: NUCHAL-TYPE FIBROMA; FIBROMATOSIS; MENINGEAL HAMARTOMA. WOULD LIKE IMMUNOHISTOCHEMICAL STAINS: S100 / CD34 / EMA / VIMENTIN /BETA CATENIN.

Submitted on 20/07/2011 05:20
________________________________________
Saleem Taibjee - Warwick () Wrote:

I was wondering about ancient schwannoma or neurofibroma to explain the rather bizarre atypia, abundant mast cells, and rather sclerotic collagen. Meningothelial hamartoma also crossed my mind.

Submitted on 20/07/2011 04:36
________________________________________

Share this comment


Link to comment
share_externally

Admin_Dermpath

Posted

Juan Carlos Garcés - Hospital Luis Vernaza / Hospital Oncológico (Guayaquil Ecuador) Wrote:

Good afternoon... Mast cells, nuclear inclusions.. I think it is a Spindle cell lipoma

Submitted on 20/07/2011 16:16
________________________________________
Phillip McKee - Overseas consultations (Cave Creek, Arizona, USA) Wrote:

The main features are the spindled cell population and the ropey collagen. The hyperchromatic giant cells are also a diagnostic clue. Given the clinical history, pleomorphic lipoma is the best diagnosis. Often with aging, the adipocytic component diminishes although it was present elsewhere in this specimen. Well done Marie.

Submitted on 20/07/2011 16:10
________________________________________
Mona Abdel Halim - Dermatology Department, Faculty of medicine, Cairo University (Egypt) Wrote:

Very late, although I have been seeing many difficult and challenging cases these pase 2 days, but I haven't seen soething like that yet!!!!! Liked all the comments but I think it fits more with spindle cell lipoma, have a sesiion on soft tissue tumors tomorrow, looking forward to it..

Submitted on 20/07/2011 15:23
________________________________________
Marwa Fawzi - Dermatology Department, Faculty of Medicine, Cairo University (Egypt) Wrote:

Dysplastic neurofibroma

Submitted on 20/07/2011 13:34
________________________________________
Eman El-Nabarawy - Cairo University (Egypt) Wrote:

Favour neurofibroma with atypical features (dysplstic)cause of large number of mast cells. DD ancient schwannoma or meningothelial hamartoma.

Submitted on 20/07/2011 12:47
________________________________________
Andrew Danckwerts - NHLS / Wits University (Johannesburg, RSA) Wrote:

Forgot to include spindle cell lipoma in my differential diagnosis. The lesion has classical ropey collagen with abundant mast cells. The age and site are also correct.

Submitted on 20/07/2011 12:42
________________________________________
Marie MD - () Wrote:

pleomorphic/spindle cell lipoma (adipocyte poor)...also thought of gc angiofibroma/sft

Submitted on 20/07/2011 11:59
________________________________________
Diana Alvarez - (The Netherlands) Wrote:

Spindle cell lipoma

Submitted on 20/07/2011 11:51
________________________________________
Richard Carr - Warwick (UK) Wrote:

Spindle cell lipoma

Submitted on 20/07/2011 10:18
________________________________________
Pablo Ortega - Hospital Isidro Ayora -Dermatopathology Department (Loja-Ecuador) Wrote:

difficult case, spindle cell tumor, probably neural. I see lots of mast cells, and in the last picture there is nuclear atypia. I favor to be Neurofibroma.

Submitted on 20/07/2011 08:53
________________________________________
Marcela Saeb Lima - Instituto Nacional de Ciencias Médicas y Nutrición Salvador Zubirán (Mexico City) Wrote:

spindle cell lipoma

Submitted on 20/07/2011 07:05
________________________________________
ANDREW DANCKWERTS - NHLS / WITS UNIVERSITY (JOHANNESBURG, RSA) Wrote:

I FAVOUR DIFFUSE NEUROFIBROMA WITH ANCIENT CHANGE. DDx INCLUDES: NUCHAL-TYPE FIBROMA; FIBROMATOSIS; MENINGEAL HAMARTOMA. WOULD LIKE IMMUNOHISTOCHEMICAL STAINS: S100 / CD34 / EMA / VIMENTIN /BETA CATENIN.

Submitted on 20/07/2011 05:20
________________________________________
Saleem Taibjee - Warwick () Wrote:

I was wondering about ancient schwannoma or neurofibroma to explain the rather bizarre atypia, abundant mast cells, and rather sclerotic collagen. Meningothelial hamartoma also crossed my mind.

Submitted on 20/07/2011 04:36
________________________________________

Share this comment


Link to comment
share_externally


×
×
  • Create New...