Jump to content
In this section we have spot diagnoses posted on a daily basis since June 2010, now over 4000! You can review the archived cases and read the suggested diagnoses by users and the final comment by the contributors.
Case are uploaded each week day by 10 am UK time with the correct diagnosis will generally be posted at 8 pm UK time. Why not view the most recent spot diagnosis and proffer a diagnosis?

Case Number : Case 292 Posted By: Guest

Please read the clinical history and view the images by clicking on them before you proffer your diagnosis.
Submitted Date :
   (0 reviews)

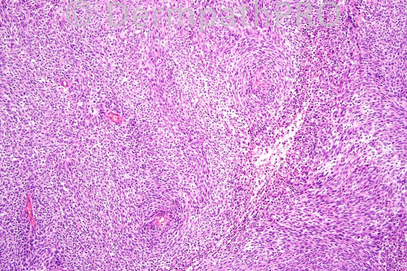
Male 37 years, tumor on leg.


  Report Record

User Feedback


Admin_Dermpath

Posted

Mona Abdel Halim - Dermatology department, faculty of medicine, Cairo university. (Egypt, currently in Austria) Wrote:

Again, I am late, nice case, actually I thought first of Monophasic synovial sarcoma, secondly MPNST, definitely Immunos r essential,,

Submitted on 22/07/2011 16:08
________________________________________
Phillip McKee - Overseas consultations (Cave Creek, Arizona, USA) Wrote:

This is a difficult case and synovial sarcoma is a good differential diagnosis. Although immunohistochemistry is necessary to extablish a final diagnosis, the perivascular accentuation as present in Figure 4 is very suggestive of a malignant peripheral nerve sheath tumor. I completely agree that melanoma would also have to be excluded. The final diagnosis was MPNST. I cannot remember whether the patient suffered from neurofibromatosis or not. Have a wonderful weekend.

Submitted on 22/07/2011 12:08
________________________________________
Juan Carlos Garcés - Hospital Oncológico / Hospital Luis Vernaza (Guayaquil Ecuador) Wrote:

Fusocellular sarcoma, perhaps synovial sarcoma

Submitted on 22/07/2011 09:22
________________________________________
Rodrigo Restrepo - UPB/CES (Mdlln/Col) Wrote:

Difficult case. Dx monophasic synovial sarcoma.

Submitted on 22/07/2011 07:53
________________________________________
ANDREW DANCKWERTS - NHLS / WITS UNIVERSITY (JOHANNESBURG, RSA) Wrote:

I FAVOUR SYNOVIAL SARCOMA (MONOPHASIC) - THE TUMOUR HAS THAT CHARACTERISTIC BASOPHILIC-HUE TO IT! DDx INCLUDES: MPNST; EWING'S SARCOMA; MELANOMA. WILL NEED IMMUNOHISTOCHEMISTRY TO CONFIRM.

Submitted on 22/07/2011 07:00
________________________________________
Richard Carr - Warwick (UK) Wrote:

Difficult. Agree probably soft tissue tumour rather than a carcinoma. I was thinking clear cell sarcoma (first) and synovial sarcoma (second) but would need the brown stains.

Submitted on 22/07/2011 06:58
________________________________________
Eman El-Nabaarwy - Cairo University (Egypt) Wrote:

Thought of Synovial sarcoma.DD sarcomatoid melanoma.

Submitted on 22/07/2011 05:36
________________________________________

Share this comment


Link to comment
share_externally


×
×
  • Create New...