Jump to content
In this section we have spot diagnoses posted on a daily basis since June 2010, now over 4000! You can review the archived cases and read the suggested diagnoses by users and the final comment by the contributors.
Case are uploaded each week day by 10 am UK time with the correct diagnosis will generally be posted at 8 pm UK time. Why not view the most recent spot diagnosis and proffer a diagnosis?

Case Number : Case 239 Posted By: Guest

Please read the clinical history and view the images by clicking on them before you proffer your diagnosis.
Submitted Date :
   (0 reviews)

What is your diagnosis?


  Report Record

User Feedback


Admin_Dermpath

Posted

Phillip McKee - Overseas consultations (Cave Creek, Arizona, USA) Wrote:

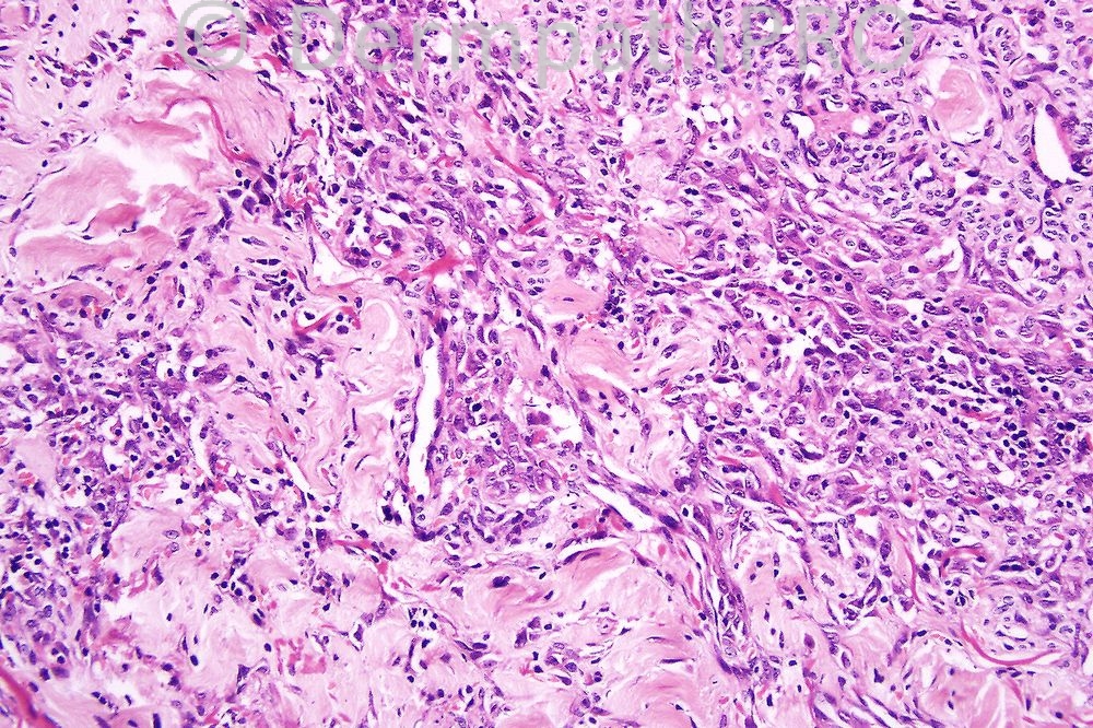
There is so much going on today that I thought that it would be best if I give answer early unless I forget. The lesion is a post radiation angiosarcoma of the breast. It is predominantly spindled cell type. Epithelioid examples are much more epithelioid and often have intracytoplasmic lumina. The only real differential diagnosis would be a "high grade" field from a KS but the endothelial cell atypia makes the diagnoses less problematical

Submitted on 10/05/2011 12:51
________________________________________
Mona Abdel-Halim - Dermatology Department, Faculty of medicine, Cairo University (Egypt) Wrote:

I thought of angiosarcoma but I think it is the ordinary not the epithelioid variant..

Submitted on 10/05/2011 10:41
________________________________________
ANDREW DANCKWERTS - NHLS, JOHANNESBURG (JOHANNESBURG, RSA) Wrote:

MALIGANT VASCULAR TUMOUR SHOWING AUTO-ILLUMINATION. I FAVOUR ANGIOSARCOMA (EPITHELIOD).

Submitted on 10/05/2011 06:39
________________________________________
Amira Tawdy - Cairo University (Egypt) Wrote:

Welcome back sir I wish you the best of luck at your new home. In this photo I can see areas of thickened collagen bundles in vicinity of a collection of epitheliod cells ,lymphocytes and proliferating vessels I suggest D.D of necrobiotic granulomas as GA,NBL OR rheumatoid nodule or I could be possibly out of track completely I ll eagrly wait for the correct answer!

Submitted on 10/05/2011 05:36
________________________________________
Marwa Fawzi - Dermatology Department, Faculty of Medicine, Cairo University (Egypt) Wrote:

epithelioid angiosarcoma

Submitted on 10/05/2011 05:15
________________________________________

Share this comment


Link to comment
share_externally


×
×
  • Create New...