Jump to content
In this section we have spot diagnoses posted on a daily basis since June 2010, now over 4000! You can review the archived cases and read the suggested diagnoses by users and the final comment by the contributors.
Case are uploaded each week day by 10 am UK time with the correct diagnosis will generally be posted at 8 pm UK time. Why not view the most recent spot diagnosis and proffer a diagnosis?

Case Number : Case 240 Posted By: Guest

Please read the clinical history and view the images by clicking on them before you proffer your diagnosis.
Submitted Date :
   (0 reviews)

What is your diagnosis?


  Report Record

User Feedback


Admin_Dermpath

Posted

Phillip McKee - Overseas consultations (Cave Creek, Arizona, USA) Wrote:

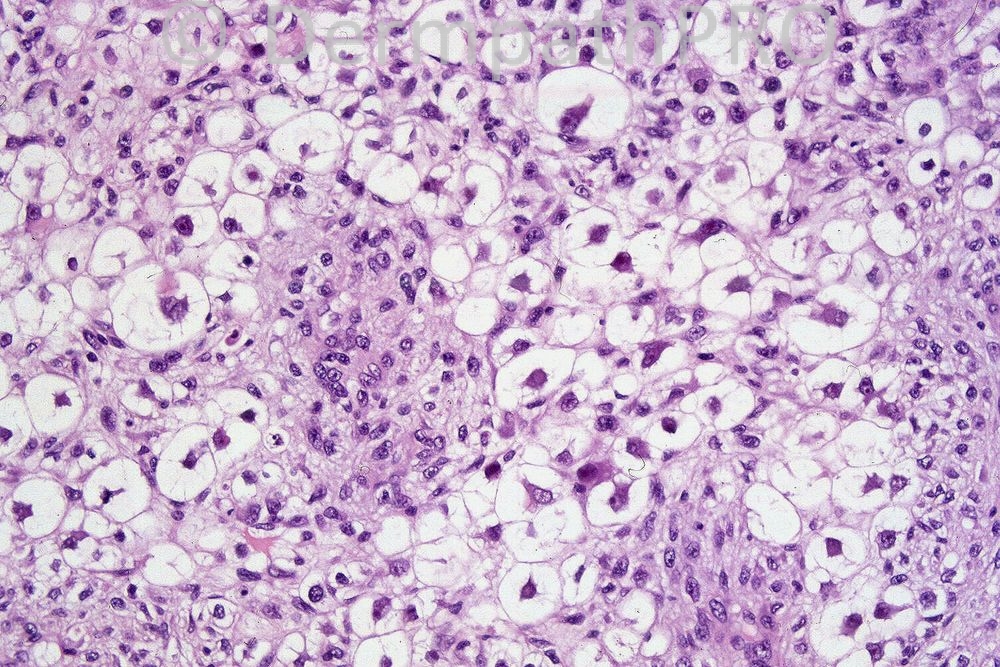
Again I have to go out for most of the day and so am posting the answer early. The tumor does show very focal sebocytes with crenated nuclei although I do agree that the majority show clear cell change. The nuclei are pleomorphic and hyperchromatic. The lesion is a poorly differentiated sebaceous carcinoma in which sebaceous differentiation is often focal and difficult to find. I like the differential diagnoses of clear cell SCC, clear cell porocarcinoma or hidradenocarcinoma. Clear cell melanoma is also an important consideration.

Submitted on 11/05/2011 12:33
________________________________________
Mona Abdel Halim - Dermatology Department, Faculty of medicine, Cairo University (Egypt) Wrote:

In this section I would rather think of tumors with clear cell changes rather than sebacous neoplasm. Some of the cells have ecenteric nuclei (signet ring cell like), the cytoplasm looks clear to finely reticulated, not foamy and bubbly like that of sebocytes. Moreover, in the right lower part of the field, I can percieve esinophilic cytoplasm around the nuclei which is then surrounded by clear spaces.. I thought of clear cell SCC (the non keratinizing variant which does not show foci of keratinization or the pleomorphic type wich may show microcysts containing acantholytic cells).The other possibility is a hidraadenocarcinoma or a porocarcinoma with clear cell change (may be else where there is evidence of ductal differentiation). Clear cell renal carcinoma is not the case as well as balloon cell melanoma.

Submitted on 11/05/2011 04:44
________________________________________
Eman El-Nabarawy - Cairo University (Egypt) Wrote:

Sebaceoma.

Submitted on 11/05/2011 00:23
________________________________________
Rebecca Shanesmith - OU Medical Center (OKC, OK, USA) Wrote:

Sebaceoma

Submitted on 10/05/2011 20:47
________________________________________

Share this comment


Link to comment
share_externally


×
×
  • Create New...