Jump to content
In this section we have spot diagnoses posted on a daily basis since June 2010, now over 4000! You can review the archived cases and read the suggested diagnoses by users and the final comment by the contributors.
Case are uploaded each week day by 10 am UK time with the correct diagnosis will generally be posted at 8 pm UK time. Why not view the most recent spot diagnosis and proffer a diagnosis?

Case Number : Case 366 Posted By: Guest

Please read the clinical history and view the images by clicking on them before you proffer your diagnosis.
Submitted Date :
   (0 reviews)

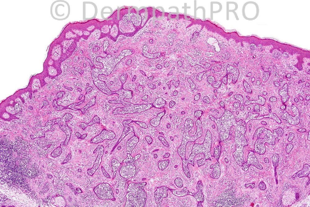
Female 36 years, nodule on forehead.


  Report Record

User Feedback


Admin_Dermpath

Posted

Phillip McKee - Overseas Consultations (Arizona, USA) Wrote:

The diagnosis is Lymphadenoma cutis. Pablo Ortega it is great news you have such a case and as stated by Richard they are rare. well done all for making the correct diagnosis!

Submitted on 06/11/2011 15:26
________________________________________
Pablo Ortega - "Isidro Ayora" Hospital (Loja-Ecuador) Wrote:

I have one case of these rare tumors. Thank you Dr. Mckee.

Submitted on 04/11/2011 09:51
________________________________________
Richard Carr - Warwick (UK) Wrote:

In answer to Pablo's question. Quite rare! Originally reported by Santa Cruz et al in 1991 (13 cases and still by far the largest series). Quite under-reported I suspect, McNiff et al studied 5 cases with immunos in 1999. I have five cases in my slide collection, 3 from slide clubs, 2 personal cases but only 1 from Coventry & Warwickshire in the last 11 years (draining a population of around 1 million!). Anyone who wants to come and visit and look at them or other cases from the slide collection is welcome (over 3,000 skin cases all in a database). Regards to all.

Submitted on 04/11/2011 04:36
________________________________________
Juan Carlos Garcés - Hospital Oncológico / Hospital Luis Vernaza (Guayaquil, Ecuador) Wrote:

Cutaneous lymphadenoma

Submitted on 03/11/2011 13:56
________________________________________
Mohammed Alorjani - RNOH (London) Wrote:

Cutaneous lymphadenoma

Submitted on 03/11/2011 12:22
________________________________________
Pablo Ortega - "Isidro Ayora" Hospital (Loja-Ecuador) Wrote:

Cutaneous lymphadenoma. How rare is this tumor?

Submitted on 03/11/2011 12:13
________________________________________
Marie MD - () Wrote:

cutaneous lymphadenoma (adamantoid trichoblastoma or not?)

Submitted on 03/11/2011 10:20
________________________________________
Marcela Saeb Lima - INCMNSZ (Mexico City) Wrote:

Beautiful cutaneous lymphadenoma!!!

Submitted on 03/11/2011 09:54
________________________________________
A Bansal - BCUHB (North Wales) Wrote:

Cutaneous Lymphadenoma (considered a variant of trichoblastoma)

Submitted on 03/11/2011 09:13
________________________________________
Diana Alvarez - () Wrote:

Cutaneous lymphadenoma.

Submitted on 03/11/2011 08:43
________________________________________
Sadiq Mohammed Amer - Al Thawra hospital, Sana'a (Yemen, Sana'a) Wrote:

Cutaneous lymphadenoma

Submitted on 03/11/2011 07:14
________________________________________
Rodrigo Restrepo - UPB/CES (Mdll/Col) Wrote:

Cutaneous lymphadenoma

Submitted on 03/11/2011 06:20
________________________________________
Bostjan Luzar - Institute of Pathology, Medical Faculty University of Ljubljana (Ljubljana, Slovenia) Wrote:

Cutaneous lymphadenoma

Submitted on 03/11/2011 06:00
________________________________________
Mona Abdel Halim - Dermatology Dept. Cairo University (Egypt) Wrote:

Cutaneous lymphadenoma. Pretty tumor.

Submitted on 03/11/2011 05:58
________________________________________
Peter Karolyi - Karolinska sweden () Wrote:

Cutaneous lymphadenoma

Submitted on 03/11/2011 05:46
________________________________________
Hazem Hamed - Department of Histopathology, Imperial College (London) Wrote:

Cutaneous lymphadenoma.

Submitted on 03/11/2011 05:45

Share this comment


Link to comment
share_externally


×
×
  • Create New...