Jump to content
In this section we have spot diagnoses posted on a daily basis since June 2010, now over 4000! You can review the archived cases and read the suggested diagnoses by users and the final comment by the contributors.
Case are uploaded each week day by 10 am UK time with the correct diagnosis will generally be posted at 8 pm UK time. Why not view the most recent spot diagnosis and proffer a diagnosis?

Case Number : Case 373 Posted By: Guest

Please read the clinical history and view the images by clicking on them before you proffer your diagnosis.
Submitted Date :
   (0 reviews)

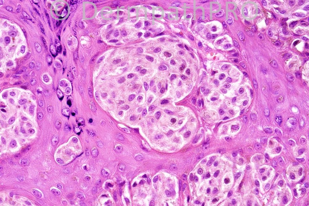
Female 64 years, scaly plaque on leg.


  Report Record

User Feedback


Admin_Dermpath

Posted

Phillip McKee - Overseas Consultations (Cave Creek, Arizona, USA) Wrote:

I checked the images and they are fine at my end. There is no evidence of ductal differentiation and so the lesion is not hidroacanthoma simplex. In melanoacanthoma, there should be much more melanin pigment. The lesion is a clonal seborrheic keratosis.

Submitted on 14/11/2011 11:35
________________________________________
I. Abdul-kadir - SJUH (Leeds, UK) Wrote:

Clonal Seb K.

Submitted on 14/11/2011 10:10
________________________________________
A Bansal - BCU HB (North Wales) Wrote:

I too think it is a clonal seb k. I cannot appreciate any ductal differentiation in these photomicrographs to suggest intraepidermal poroma (hidroacanthoma).

Submitted on 14/11/2011 09:15
________________________________________
James Carton - Imperial College (London) Wrote:

Looks like a clonal pattern seb k but with increased numbers of uniform melanocytes so I wondered about melanoacanthoma.

Submitted on 14/11/2011 09:06
________________________________________
Mona Abdel Halim - Dermatology Dept. Cairo Univ. (Egypt) Wrote:

To me the cells are slightly poroid and I thought of hidroacanthoma simplex, especially with the thin proliferating strands,

Submitted on 14/11/2011 08:48
________________________________________
Sasi Attili - (UK) Wrote:

Looks like a clonal Seb. K. But is there a problem with the comments section today?

Submitted on 14/11/2011 07:31

Share this comment


Link to comment
share_externally


×
×
  • Create New...