Jump to content
In this section we have spot diagnoses posted on a daily basis since June 2010, now over 4000! You can review the archived cases and read the suggested diagnoses by users and the final comment by the contributors.
Case are uploaded each week day by 10 am UK time with the correct diagnosis will generally be posted at 8 pm UK time. Why not view the most recent spot diagnosis and proffer a diagnosis?

Case Number : Case 380 Posted By: Guest

Please read the clinical history and view the images by clicking on them before you proffer your diagnosis.
Submitted Date :
   (0 reviews)

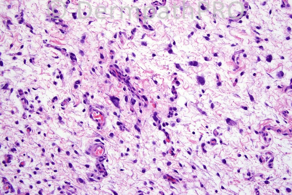
Recurrent tumor on leg.


  Report Record

User Feedback


Admin_Dermpath

Posted

Phillip McKee - Overseas Consultations (Cave Creek, USA) Wrote:

I think that there are curvilinear vessels best seen at low power. This is a case that preceeded the immunohistochemistry era. I think however that it fits best with myxoid MFH but obviously could be wrong!!!!

Submitted on 23/11/2011 11:53
________________________________________
Mona Abdel Halim - Dermatology Dept. Cairo Univ. (Egypt) Wrote:

Thinking myxofibrosarcoma,,

Submitted on 23/11/2011 11:11
________________________________________
Zena Slim (SpR Histopath) - () Wrote:

..PS : Another less likely possibility, considering the history of recurrence, is of a myxofibrosarcoma-like DE-DIFFERENTIATED LIPOSARCOMA. But in this location it would be vey unusual - CDK4 and MDM-2 would help if available.

Submitted on 23/11/2011 08:51
________________________________________
Zena Slim (SpR Histopath) - Wessex Deanery (Queen Alexandra Hospital ) Wrote:

Pleomorphic spindle and polygonal cells in a myxoid stroma and conspicuous 'curvilinear' vessels. I think this is a MYXOFIBROSARCOMA (myxoid MFH). I don't think this is a myxoid liposarcoma or an angiomyxoma as the cells are too pleomorphic and a dermal/subcuticular location would be unusual for a myxoid LPS. I would expect S100 to be negative and CD34 /actins and CD68 to show variable positivity.

Submitted on 23/11/2011 08:47
________________________________________
A Bansal - BCU HB (North Wales) Wrote:

? myxoid (round cell) liposarcoma. Needs immunos - S100 protein, CD31, CD34, MDM2 etc.

Submitted on 23/11/2011 06:58
________________________________________
Sasi Attili - (UK) Wrote:

Myxoid tumour with pleomorphic cells and abundant vasculature. Don't see curvilinear vessels but Myxofibrosarcoma (? high grade with the pleomorphic cells).

Submitted on 23/11/2011 06:07
________________________________________
Hazem Hamed - Department of Histopathology, Imperial College (London) Wrote:

Angiomyxoma

Submitted on 23/11/2011 05:10

Share this comment


Link to comment
share_externally


×
×
  • Create New...