Jump to content
In this section we have spot diagnoses posted on a daily basis since June 2010, now over 4000! You can review the archived cases and read the suggested diagnoses by users and the final comment by the contributors.
Case are uploaded each week day by 10 am UK time with the correct diagnosis will generally be posted at 8 pm UK time. Why not view the most recent spot diagnosis and proffer a diagnosis?

Case Number : Case 352 Posted By: Guest

Please read the clinical history and view the images by clicking on them before you proffer your diagnosis.
Submitted Date :
   (0 reviews)

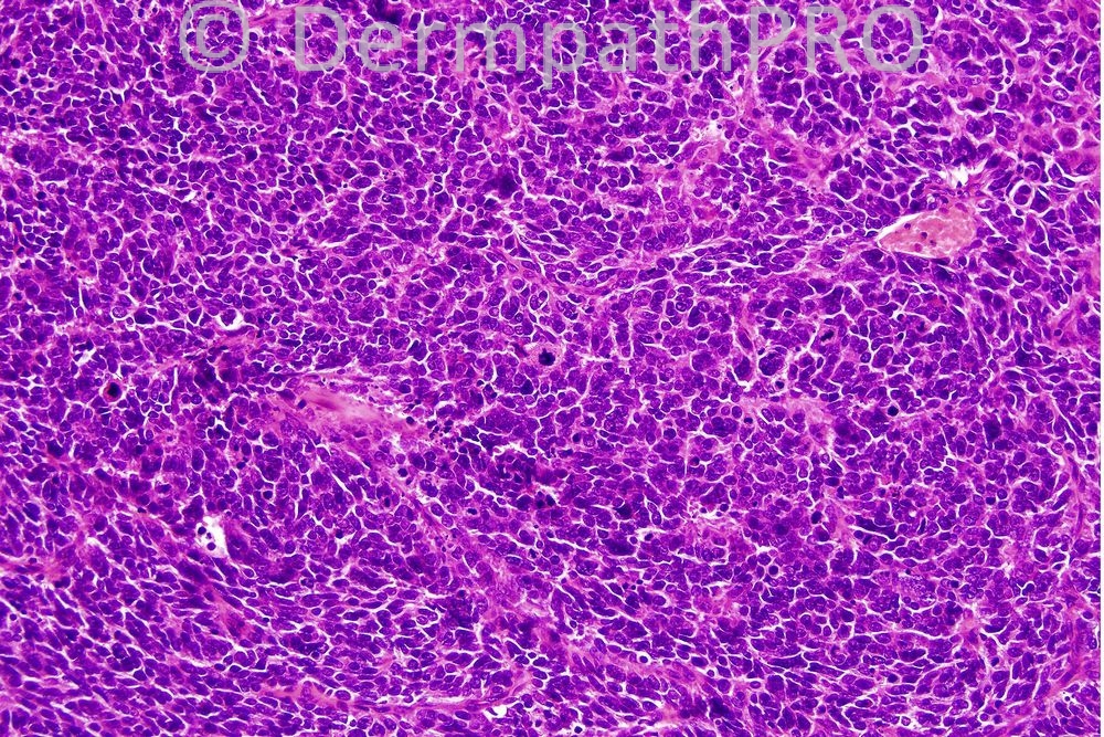
Female 78 years, nodule on neck


  Report Record

User Feedback


Admin_Dermpath

Posted

Phillip McKee - Overseas consultations (Cave Creek, Arizona, USA) Wrote:

Most of you got the correct diagnosis. Primary cutaneous MCC with squamous differentiation. The diagnosis was confirmed with immunohistochemistry. Have a great weekend.

Submitted on 14/10/2011 12:25

---------------------------------------------------------------------------------------

Mona Abdel Halim - Dermatology Dept. Cairo University. (Egypt) Wrote:

I like the idea of MCC with squamous differentiation!!!!!!

Submitted on 14/10/2011 11:51

---------------------------------------------------------------------------------------

Bostjan Luzar - Institute of Pathology, Medical Faculty University of Ljubljana (Ljubljana, Slovenia) Wrote:

Merkel cell carcinoma with squamous differentiation

Submitted on 14/10/2011 08:19

---------------------------------------------------------------------------------------

Hazem Hamed - Department of Histopathology, Imperial College (LONDON) Wrote:

Spindle cell epithelial tumour with thymic-like differentiation (SETTLE)should also be considered.

Submitted on 14/10/2011 08:11

---------------------------------------------------------------------------------------

Hazem Hamed - Department of Histopathology, Imperial College (London) Wrote:

In the Differential diagnosis I would like to add (Thymic carcinoma, the last image shows Hassal's corpuscle) and immuno is required.

Submitted on 14/10/2011 07:34

---------------------------------------------------------------------------------------

Rodrigo Restrepo - UPB/CES (Mdlln/Col) Wrote:

Merkel cell carcinoma

Submitted on 14/10/2011 07:17

---------------------------------------------------------------------------------------

Sharmila - Queen Elizabeth, Birmingham () Wrote:

Could also be metastatic. Definitely needs immunohistochemistry!

Submitted on 14/10/2011 06:39

---------------------------------------------------------------------------------------

Marwa Fawzi - Dermatology Department, Faculty of Medicine, Cairo University (Egypt) Wrote:

First thought was B cell lymphoma ,but i was shocked from diversity in other comments from my beloved colleagues !!

Submitted on 14/10/2011 06:25

---------------------------------------------------------------------------------------

Eman El-Nabarawy - Cairo University (Egypt) Wrote:

Epithelioid angiosarcoma vs melanoma.

Submitted on 14/10/2011 05:47

---------------------------------------------------------------------------------------

Eman El-Nabarawy - Cairo University (Egypt) Wrote:

Epithelioid angiosarcoma vs melanoma.

Submitted on 14/10/2011 05:47

---------------------------------------------------------------------------------------

Mona Abdel Halim - Dermatology Dept. Cairo University (Egypt) Wrote:

Poorly differentiated SCC

Submitted on 14/10/2011 05:11

---------------------------------------------------------------------------------------

Marcela Saeb Lima - INCMNSZ (Mexico City) Wrote:

B cell lymphoma vs Merkel cell carcinoma

Submitted on 14/10/2011 05:10

Share this comment


Link to comment
share_externally


×
×
  • Create New...