Jump to content
In this section we have spot diagnoses posted on a daily basis since June 2010, now over 4000! You can review the archived cases and read the suggested diagnoses by users and the final comment by the contributors.
Case are uploaded each week day by 10 am UK time with the correct diagnosis will generally be posted at 8 pm UK time. Why not view the most recent spot diagnosis and proffer a diagnosis?

Case Number : Case 356 Posted By: Guest

Please read the clinical history and view the images by clicking on them before you proffer your diagnosis.
Submitted Date :
   (0 reviews)

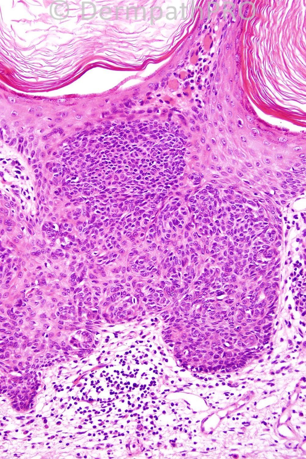
Female 36 years, plaque on lower leg.


  Report Record

User Feedback


Admin_Dermpath

Posted

Marie MD - () Wrote:

hidroacanthoma simplex

Submitted on 24/10/2011 12:32

---------------------------------------------------------------------------------------

Sadiq Mohammed Ali Amer - (Yemen) Wrote:

In favor of hidroacanthoma simplex vs clonal seborrhoeic keratosis.

Submitted on 20/10/2011 13:24

---------------------------------------------------------------------------------------

Phillip McKee - Overseas consultations (Cave Creek, Arizona, USA) Wrote:

Very good comments. I agree that there is a definite poroid look to the cells and a clonal population is evident. Ductal differentiation was evident elsewhere in this lesion. I diagnosed it as hidroacanthoma simplex.

Submitted on 20/10/2011 12:00

---------------------------------------------------------------------------------------

Mona Abdel Halim - Dermatology Dept. (Egypt) Wrote:

Beautifully demonstrated Borst Jadasson Phenomenon.. Clonal Seb K vs. Hidroacanthoma simplex... Lovely,,,

Submitted on 20/10/2011 10:18

---------------------------------------------------------------------------------------

I. Abdul-kadir - SJUH (Leeds, UK) Wrote:

Hidroacantoma simplex (intra-epidermal poroma). The cells look "poroid" as opposed to the clear nests in clonal seborrhoeic keratosis or the atypical nests in nested Bowen's disease.

Submitted on 20/10/2011 07:34

---------------------------------------------------------------------------------------

Richard Carr - Warwick (UK) Wrote:

Agree with MSL. When there is atypia (not this one) we often do p16 and p53 for clonal bowen's. I don't know why but most Borst Jadassohn (clonal) lesions are on the lower leg. I think there must be some relationship of clonal SEBK and poroma/porocarcinoma as we have a definite longstanding clonal seb k that seemed to progress through mitotic activity with mild atypia to a frankly invasive porocarcinoma (it was a hugh lesion and present for many years serially biopsied over the years). I suppose given that SEBK are so common could just be a coincidence though.

Submitted on 20/10/2011 06:45

---------------------------------------------------------------------------------------

Marcela Saeb Lima - INCMNSZ (Mexico City) Wrote:

clonal seborrheic keratosis (Borst Jadassohn phenomenon) vs hidroacantoma simplex (there is no ductal differentiation)

Submitted on 20/10/2011 05:41

Share this comment


Link to comment
share_externally


×
×
  • Create New...