Jump to content
In this section we have spot diagnoses posted on a daily basis since June 2010, now over 4000! You can review the archived cases and read the suggested diagnoses by users and the final comment by the contributors.
Case are uploaded each week day by 10 am UK time with the correct diagnosis will generally be posted at 8 pm UK time. Why not view the most recent spot diagnosis and proffer a diagnosis?

Case Number : Case 357 Posted By: Guest

Please read the clinical history and view the images by clicking on them before you proffer your diagnosis.
Submitted Date :
   (0 reviews)

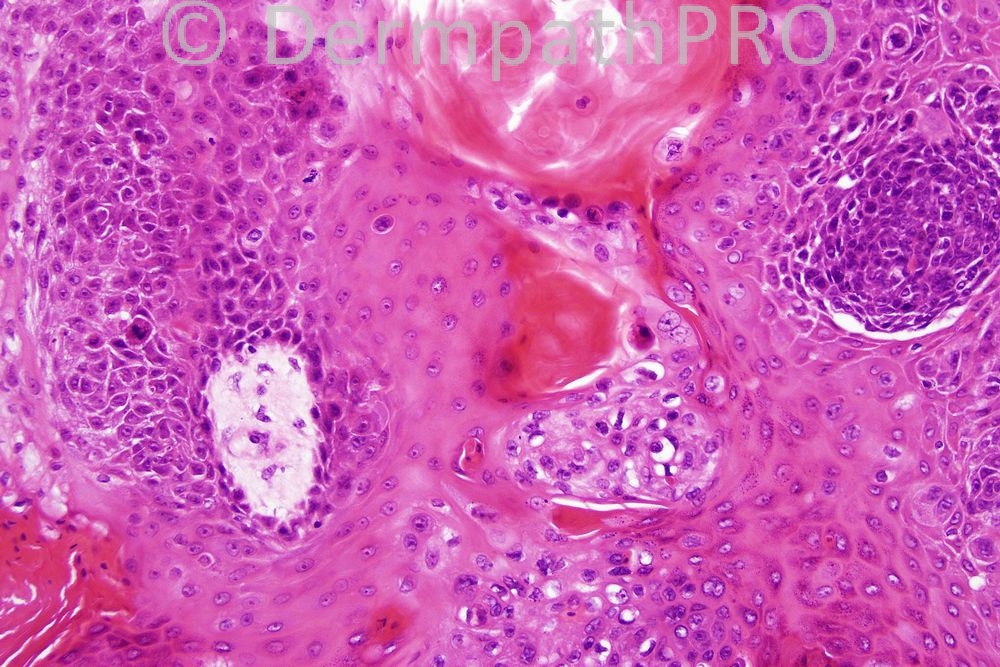
Male 60 years, scaly plaque on leg.


  Report Record

User Feedback


Admin_Dermpath

Posted

Phillip McKee - Overseas Consultations (Arizona, USA) Wrote:

The final diagnosis was In-situ porocarcinoma. The differential diagnosis is listed below. Have a good weekend.

Submitted on 22/10/2011 14:25

---------------------------------------------------------------------------------------

Juan Carlos Garcés - Hospital Oncológico / Hospital Luis Vernaza (Guayaquil Ecuador) Wrote:

Good morning every body.. agree with Epidermoid carcinoma in situ

Submitted on 21/10/2011 12:09

---------------------------------------------------------------------------------------

Bostjan Luzar - Institute of Pathology, Medical Faculty University of Ljubljana (Ljubljana, Slovenia) Wrote:

Bowen's disease

Submitted on 21/10/2011 09:16

---------------------------------------------------------------------------------------

Wilber J. Martínez - CES University (Medellín-Colombia) Wrote:

Bowen´s disease

Submitted on 21/10/2011 08:31

---------------------------------------------------------------------------------------

Rodrigo Restrepo - UPB/CES (Mdlln/Col) Wrote:

Bowen's disease.

Submitted on 21/10/2011 06:48

---------------------------------------------------------------------------------------

Eman El-Nabarawy - Cairo University (Egypt) Wrote:

Bowen's disease.

Submitted on 21/10/2011 05:09

---------------------------------------------------------------------------------------

Mona Abdel Halim - Dermatology Dept. (Egypt) Wrote:

Bowen's disease, clonal (nested)

Submitted on 21/10/2011 04:51

Share this comment


Link to comment
share_externally


×
×
  • Create New...