Case Number : Case 474 Posted By: Guest
Please read the clinical history and view the images by clicking on them before you proffer your diagnosis.
Submitted Date :
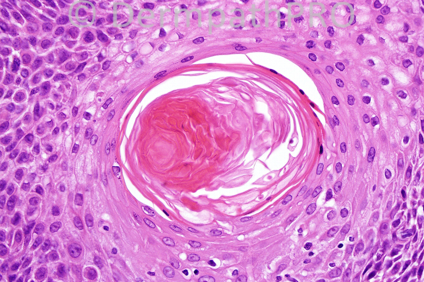
Female 76 years, rapidly growing tumor on face.

User Feedback