Case Number : Case 487 Posted By: Guest
Please read the clinical history and view the images by clicking on them before you proffer your diagnosis.
Submitted Date :
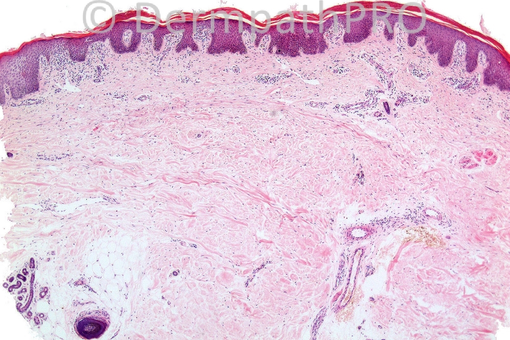
Male 80 years, arm, ?psoriasis, ?eczema (notes requested for more detail).

User Feedback