Case Number : Case 563 - 6 Aug Posted By: Guest
Please read the clinical history and view the images by clicking on them before you proffer your diagnosis.
Submitted Date :
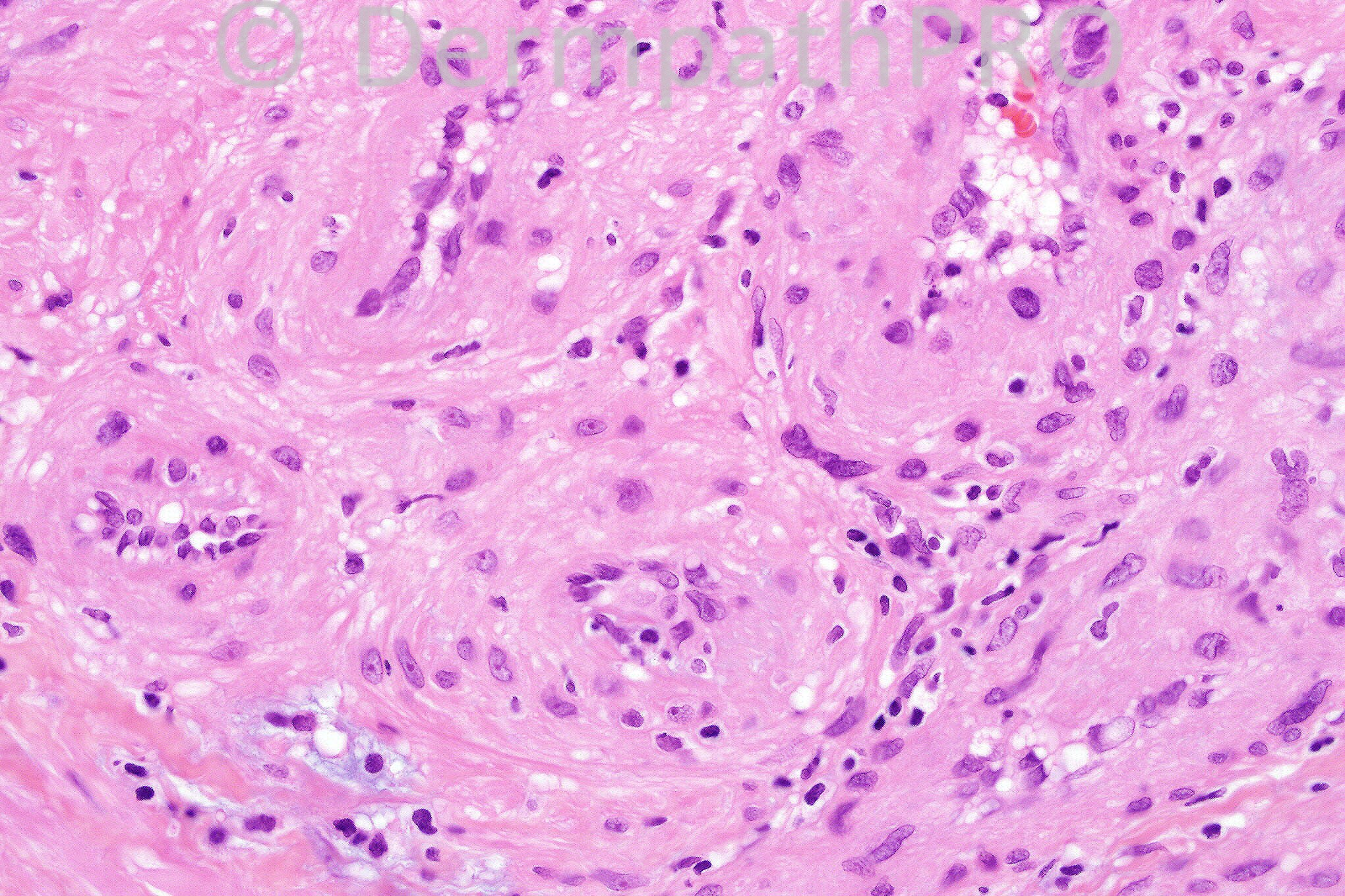
Female 47 years with a painful nodule on the trunk.
We are grateful to Dr. Richard Carr who has provided this case.
We are grateful to Dr. Richard Carr who has provided this case.

User Feedback