Case Number : Case 570 - 15 Aug Posted By: Guest
Please read the clinical history and view the images by clicking on them before you proffer your diagnosis.
Submitted Date :
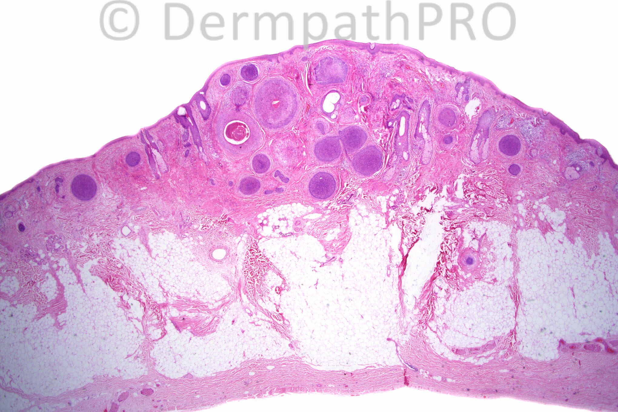
Female 59 years with a nodule on the forehead.

User Feedback