Case Number : Case 573 - 20 Aug Posted By: Guest
Please read the clinical history and view the images by clicking on them before you proffer your diagnosis.
Submitted Date :
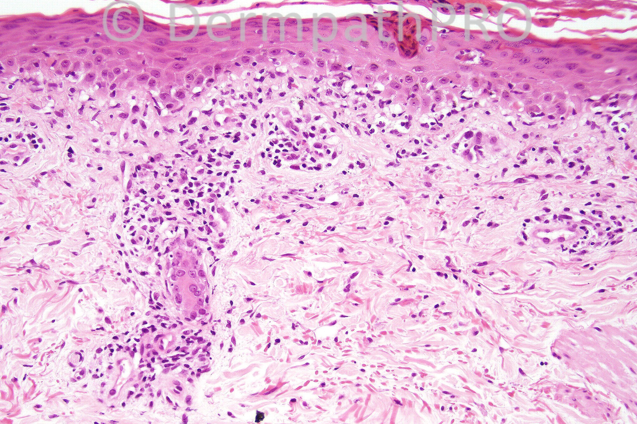
Female 32 years with a history of widespread erythematous macules some with a central papule and/or vesicle formation. Oral lesions were also present.

User Feedback