Case Number : Case 665 - 31 Dec Posted By: Guest
        Please read the clinical history and view the images by clicking on them before you proffer your diagnosis.
    
    
              	
					Submitted Date : 
              	
                
            
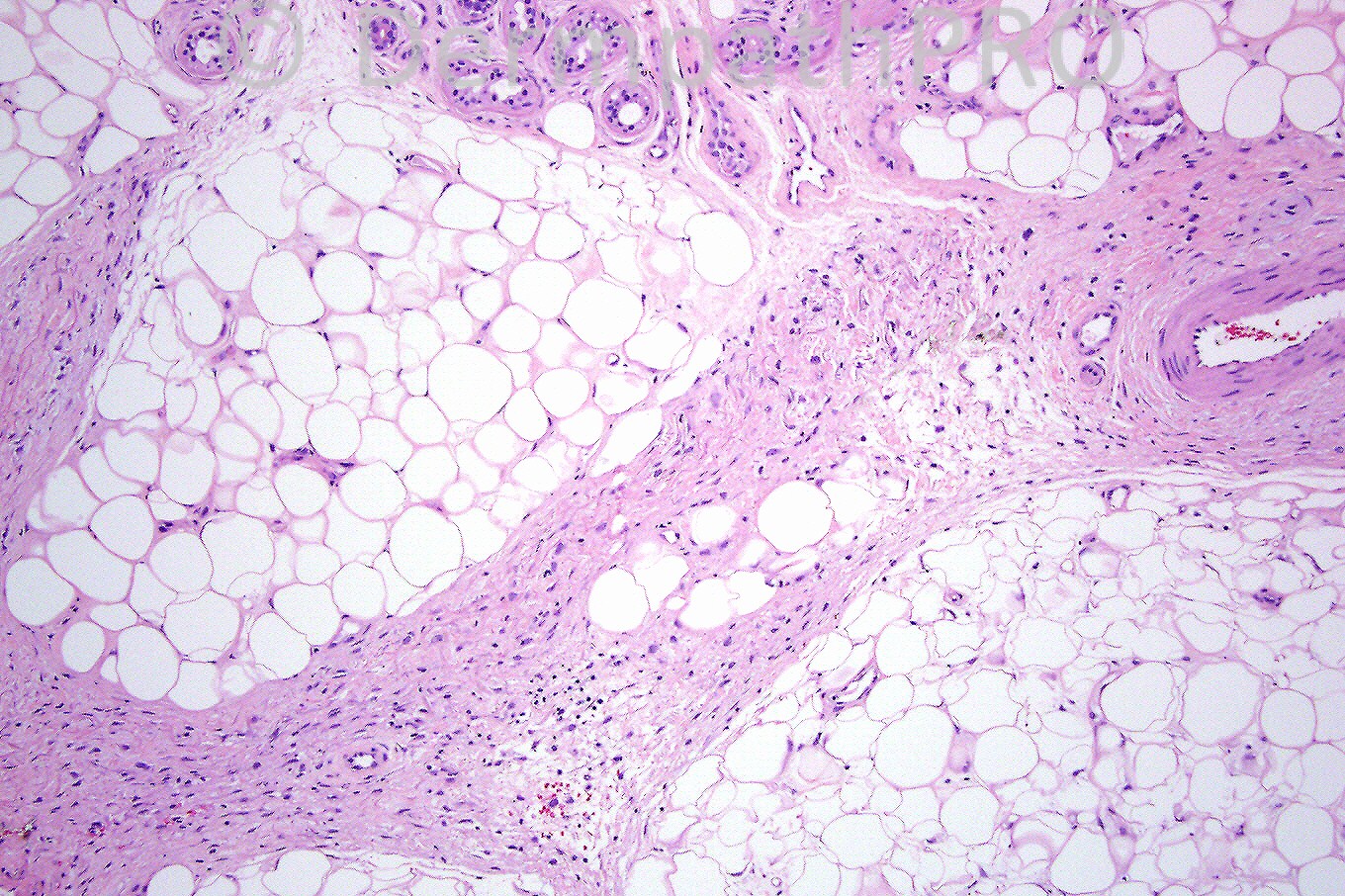
            Patient with sclerotic lesions on limbs. Courtesy of Nooshin Brinster

 
               
               
               
              
User Feedback