Jump to content
In this section we have spot diagnoses posted on a daily basis since June 2010, now over 4000! You can review the archived cases and read the suggested diagnoses by users and the final comment by the contributors.
Case are uploaded each week day by 10 am UK time with the correct diagnosis will generally be posted at 8 pm UK time. Why not view the most recent spot diagnosis and proffer a diagnosis?

Case Number : Case 438 Posted By: Guest

Please read the clinical history and view the images by clicking on them before you proffer your diagnosis.
Submitted Date :
   (0 reviews)

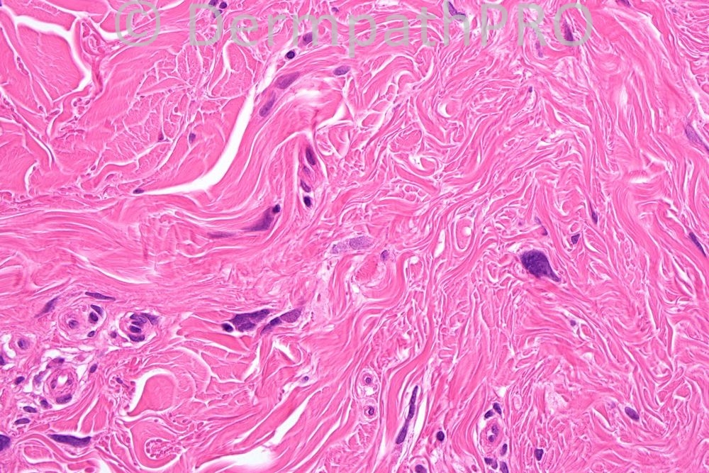
Female 56 years, nodule on upper arm.


  Report Record

User Feedback


Admin_Dermpath

Posted

[b]Iskander Chaudhry - Central Manchester Trust (Manchester, U.K.) Wrote:[/b]

Well done everyone! The diagnosis was Pleomorphic fibroma. See you tomorrow.

[size=2]Submitted on 13/02/2012 17:02[/size]
[b]Zena Slim (SpR Histopath) - Wessex Deanery (QAH Portsmouth) Wrote:[/b]

Pleomorphic fibroma

[size=2]Submitted on 13/02/2012 13:27[/size]
[b]ANDREW DANCKWERTS - WITS UNIVERSITY, JOHANNESBURG (JOHANNESBURG, RSA) Wrote:[/b]

PLEOMORPHIC FIBROMA.

[size=2]Submitted on 13/02/2012 13:27[/size]
[b]Marwa Fawzy - Dermatology Department, Faculty of Medicine, Cairo University (Egypt) Wrote:[/b]

Pleomorphic fibroma

[size=2]Submitted on 13/02/2012 13:22[/size]
[b]Mona Abdel Halim - Dermatology Dept. Cairo University. (Egypt) Wrote:[/b]

Pleomorphic fibroma

[size=2]Submitted on 13/02/2012 12:29[/size]
[b]Izzat Abdul-kadir - ST2 - York Hospital (UK) Wrote:[/b]

PF.

[size=2]Submitted on 13/02/2012 10:31[/size]
[b]Yüksel Okumuş - Bursa State Hospital (Turkey) Wrote:[/b]

Pleomorphic fibroma

[size=2]Submitted on 13/02/2012 10:22[/size]
[b]Amira Tawdy - Cairo university (Egypt) Wrote:[/b]

I think of either sclerotic fibroma or pleomorphic fibroma

[size=2]Submitted on 13/02/2012 10:16[/size]

Share this comment


Link to comment
share_externally


×
×
  • Create New...