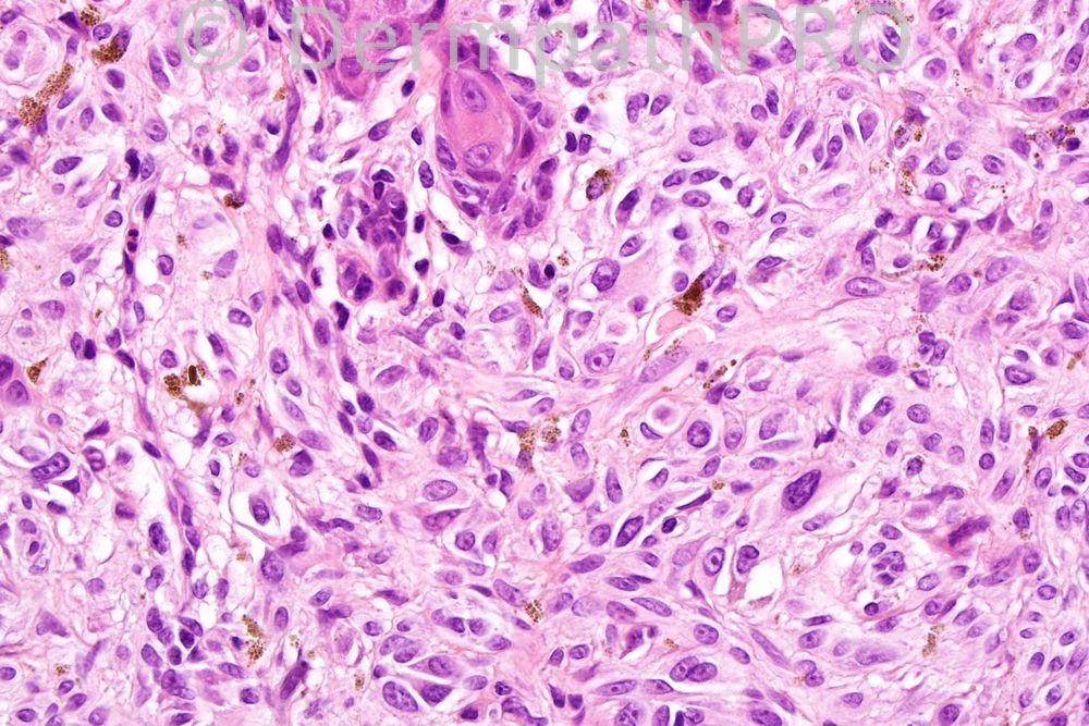
Case Number : Case 412 Posted By: Guest
Please read the clinical history and view the images by clicking on them before you proffer your diagnosis.
Submitted Date :
Male 11 years, lesion lower lip, increase in size.

User Feedback