Case Number : Case 539 - 3 July Posted By: Guest
Please read the clinical history and view the images by clicking on them before you proffer your diagnosis.
Submitted Date :
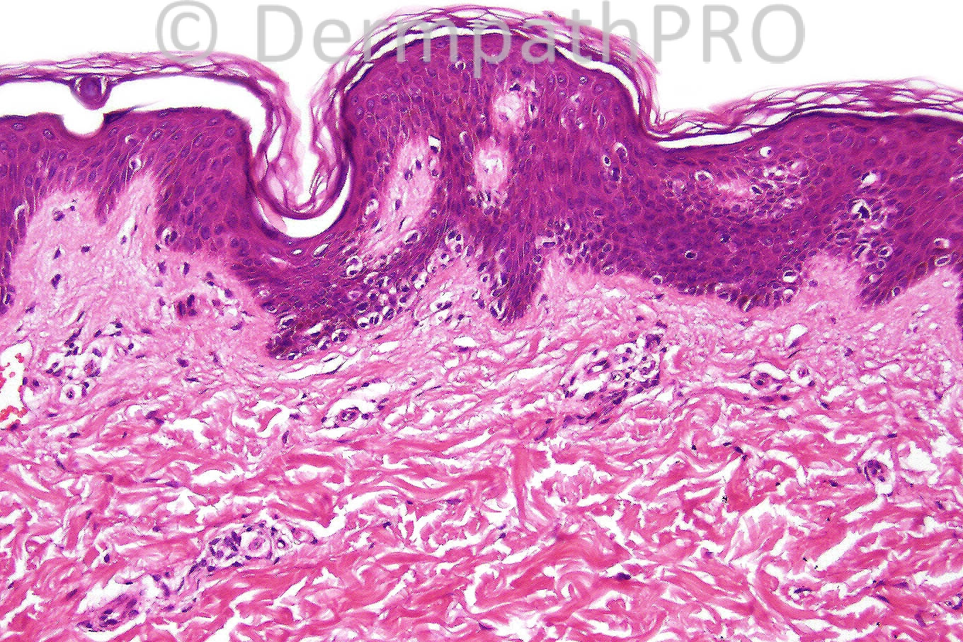
Female 37 years presenting with multiple slightly scaly hypopigmented patches on the trunk.

User Feedback