Case Number : Case 542 - 6 July Posted By: Guest
Please read the clinical history and view the images by clicking on them before you proffer your diagnosis.
Submitted Date :
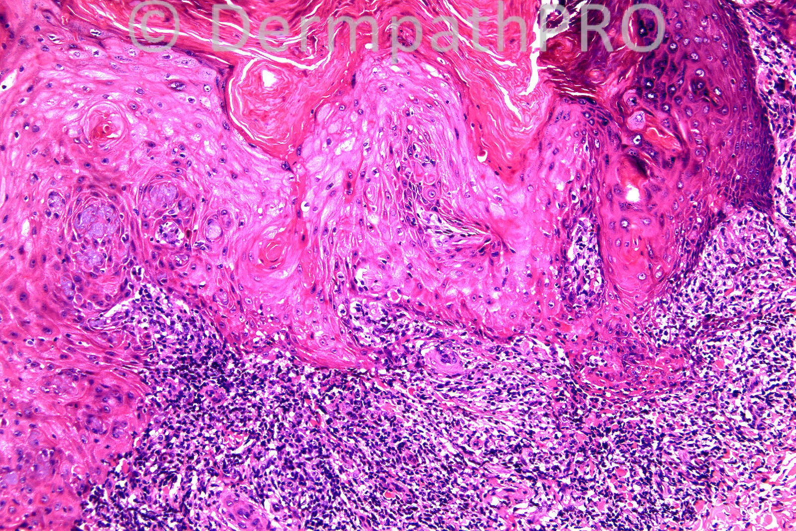
Female 70 years, arm, Nodular skin lesion L lower forearm ?BCC.

User Feedback