Case Number : Case 517 Posted By: Guest
Please read the clinical history and view the images by clicking on them before you proffer your diagnosis.
Submitted Date :
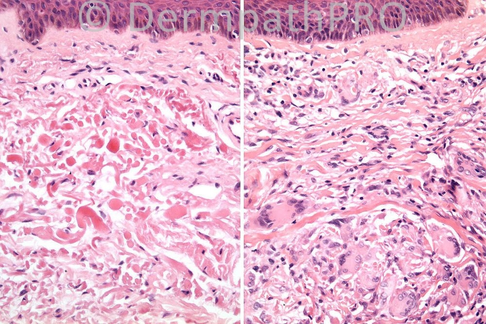
Male 70 years, annular lesion with atrophic centre on hand: dorsum..

User Feedback