Case Number : Case 522 Posted By: Guest
Please read the clinical history and view the images by clicking on them before you proffer your diagnosis.
Submitted Date :
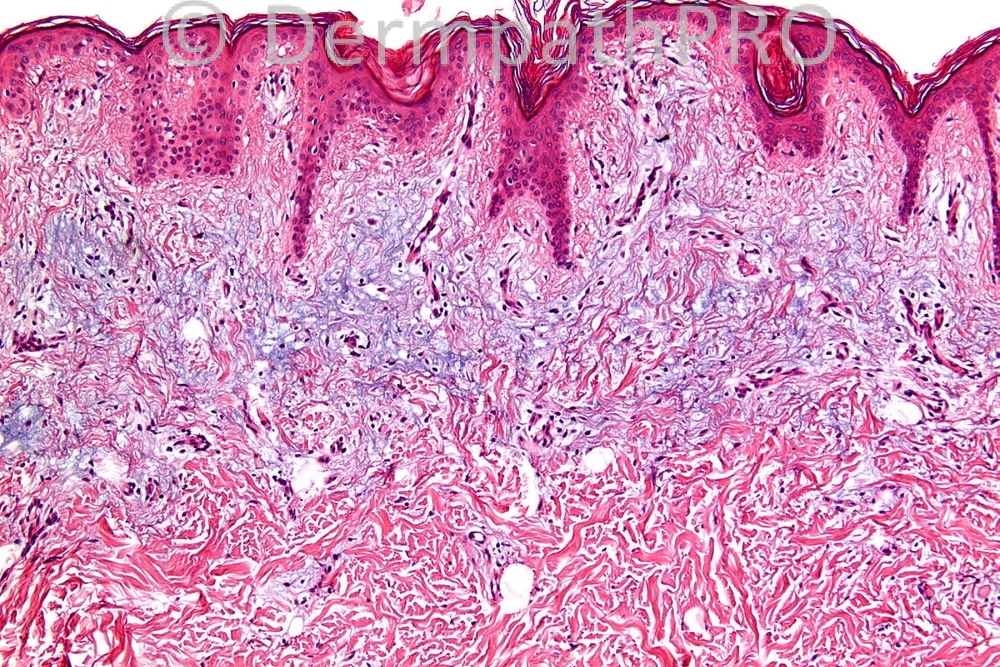
Male 13 years, yellowish plaque - cobble stone surface on back: lumbar. ?Xanthogranulomas. ?Seb naevus. ?Connective tissue naevus.

User Feedback