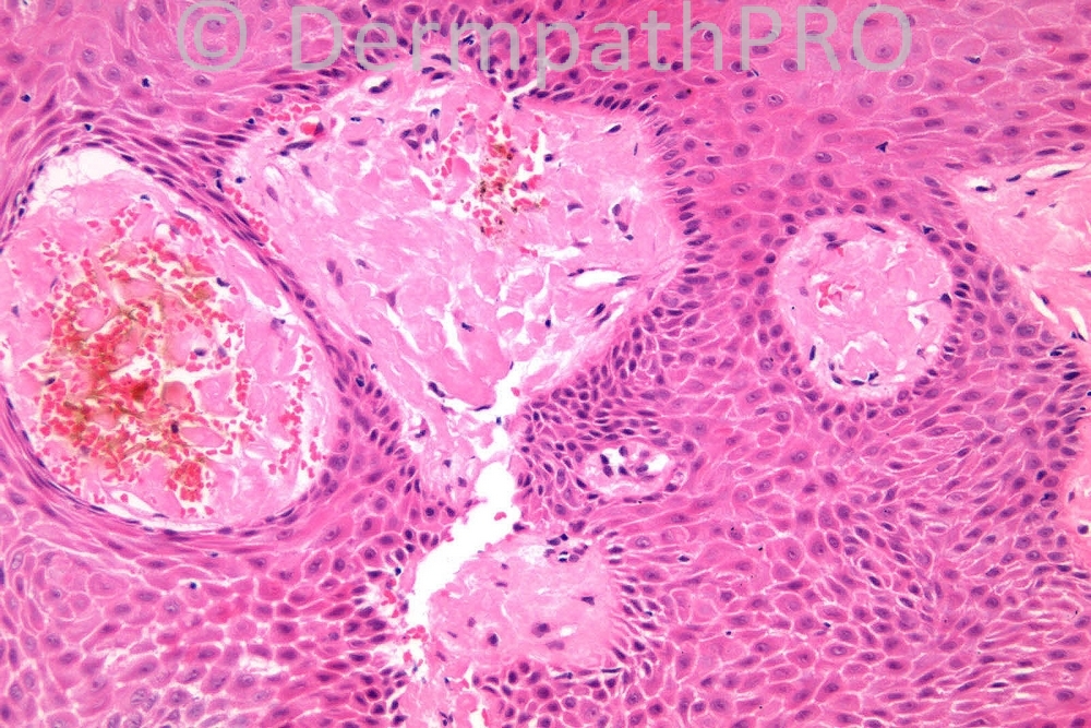
Case Number : Case 527 Posted By: Guest
Please read the clinical history and view the images by clicking on them before you proffer your diagnosis.
Submitted Date :
Male 84 years, tight anal stenosis, with sclerotic appearance.

User Feedback