Case Number : Case 453 Posted By: Guest
Please read the clinical history and view the images by clicking on them before you proffer your diagnosis.
Submitted Date :
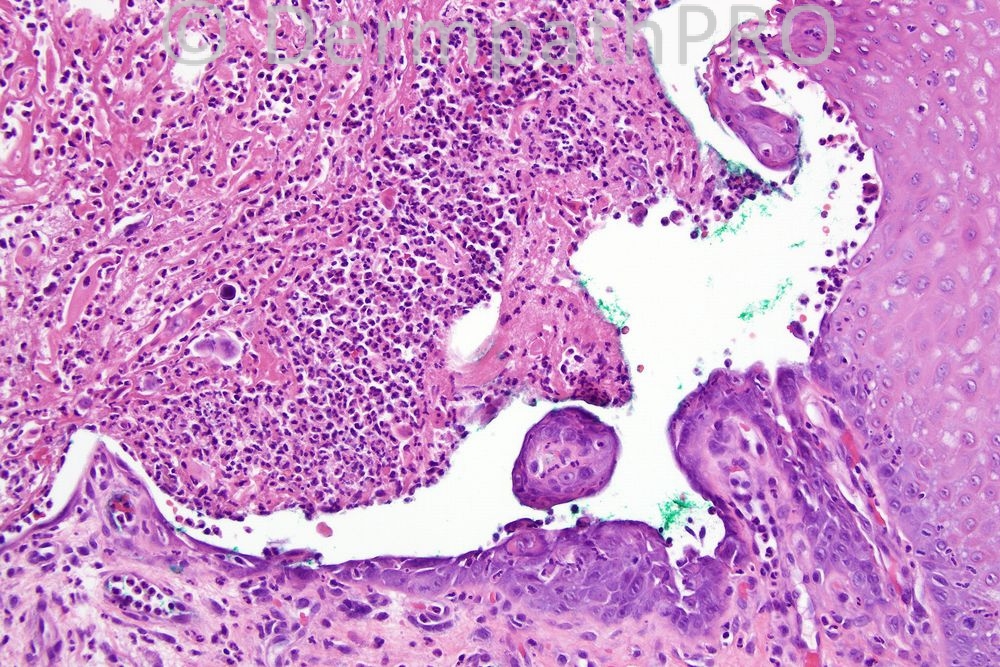
Female 76 years, ulcerated lesion in mouth.

User Feedback