Jump to content
In this section we have spot diagnoses posted on a daily basis since June 2010, now over 4000! You can review the archived cases and read the suggested diagnoses by users and the final comment by the contributors.
Case are uploaded each week day by 10 am UK time with the correct diagnosis will generally be posted at 8 pm UK time. Why not view the most recent spot diagnosis and proffer a diagnosis?

Case Number : Case 458 Posted By: Guest

Please read the clinical history and view the images by clicking on them before you proffer your diagnosis.
Submitted Date :
   (0 reviews)

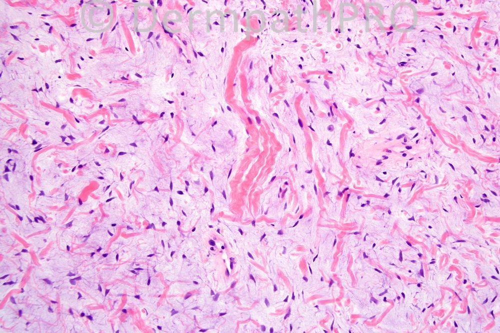
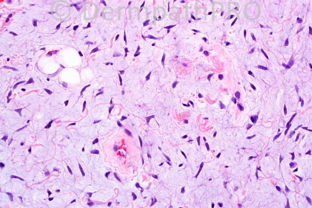
Male 43 years, nodule in neck.


  Report Record

User Feedback


Admin_Dermpath

Posted

[b]Phillip McKee - Overseas Consultations (Cave Creek, Arizona, USA) Wrote:[/b]

I have to go out today and so am giving the diagnosis early. The clinical history and the admixture of adipocytes, spindled cells and wiry collagen make the diagnosis of spindle cell lipoma. Sometimes these lesions can be quite myxoid. This is a particularly nice example. Phillip

[size=2]Submitted on 12/03/2012 17:08[/size] [b]Marwa Fawzy - Dermatology Department, Faculty of Medicine, Cairo University (Egypt) Wrote:[/b]

Myxofibrolipoma

[size=2]Submitted on 12/03/2012 16:53[/size] [b]Pablo Ortega - Laboratorio de Patologia Ortega (Loja-Ecuador) Wrote:[/b]

agree with spindle cell lipoma

[size=2]Submitted on 12/03/2012 16:11[/size] [b]Sasi Attili - (United Kingdom) Wrote:[/b]

Spindle cell lipoma with myxoid change

[size=2]Submitted on 12/03/2012 16:07[/size] [b]Amira Tawdy - Cairo University (Egypt) Wrote:[/b]

I thought as well as my friend Mona of spindle cell lipoma with myxoid change

[size=2]Submitted on 12/03/2012 15:59[/size] [b]Juan Carlos Garcés - Hospital Oncológico / Hospital Luis Vernaza (Guayaquil Ecuador) Wrote:[/b]

Spindle cell lipoma

[size=2]Submitted on 12/03/2012 15:47[/size] [b]Mona Abdel Halim - Dermatology Dept. Cairo Univ. (Egypt) Wrote:[/b]

I thought of spindle cell lipoma due to the rope like collagen in the last image

[size=2]Submitted on 12/03/2012 14:34[/size] [b]Marcela Saeb Lima - INCMNSZ (Mexico City) Wrote:[/b]

spindle cell lipoma /pleomorphic lipoma

[size=2]Submitted on 12/03/2012 14:25[/size] [b]ANDREW DANCKWERTS - (JOHANNESBURG, RSA) Wrote:[/b]

SPINDLE CELL / PLEOMORPHIC LIPOMA, WITH PROMINENT MYXOID CHANGE. THE DIFFERENTIAL DIAGNOSIS INCLUDES MYXOFIBROLIPOMA. ****** CLINICO-PATHOLOGICAL CORRELATION IS ESSENTIAL, AS TO WETHER THIS IS A SUPERFICIAL NEOPLASM OR IF IT IS DEEP-SEATED.

[size=2]Submitted on 12/03/2012 14:20[/size] [b]Rodrigo Restrepo - UPB/CES (Mdlln/Col) Wrote:[/b]

Myxofibrolipoma

[size=2]Submitted on 12/03/2012 14:06[/size] [b]omar erdogan - () Wrote:[/b]

or elastofibrolipoma

[size=2]Submitted on 12/03/2012 13:20[/size] [b]omar erdogan - () Wrote:[/b]

elastofibroma myxoid degeneration

[size=2]Submitted on 12/03/2012 13:10[/size] [b]Yüksel Okumuş - Bursa State Hospital (Turkey) Wrote:[/b]

Myxofibrolipoma. Need differential diagnosis with myxoid liposarcoma.

[size=2]Submitted on 12/03/2012 12:43[/size] [b]Izzat Abdul-kadir - ST2 - York Hospital (UK) Wrote:[/b]

Myxoid liposarcoma.

[size=2]Submitted on 12/03/2012 12:27[/size]

Share this comment


Link to comment
share_externally


×
×
  • Create New...