Jump to content
In this section we have spot diagnoses posted on a daily basis since June 2010, now over 4000! You can review the archived cases and read the suggested diagnoses by users and the final comment by the contributors.
Case are uploaded each week day by 10 am UK time with the correct diagnosis will generally be posted at 8 pm UK time. Why not view the most recent spot diagnosis and proffer a diagnosis?

Case Number : Case 465 Posted By: Guest

Please read the clinical history and view the images by clicking on them before you proffer your diagnosis.
Submitted Date :
   (0 reviews)

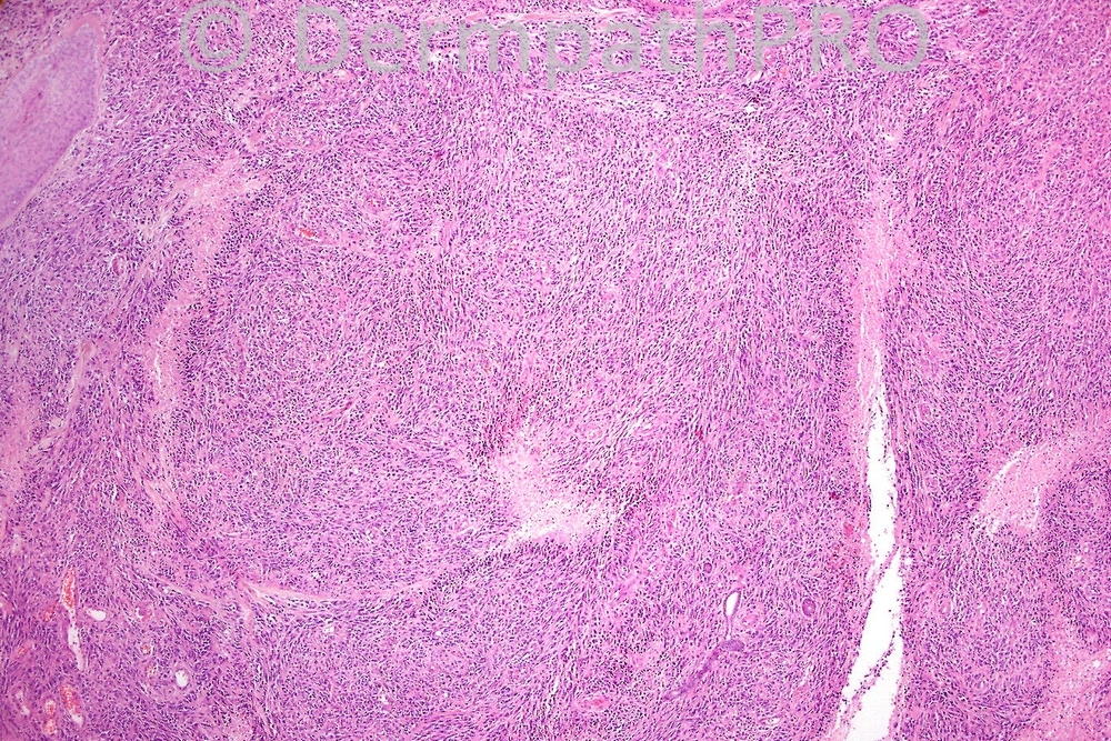
Female 86, ulcerated nodule on scalp.


  Report Record

User Feedback


Admin_Dermpath

Posted

[b]Phillip McKee - Overseas Consultations (Cave Creek, Arizona, USA) Wrote:[/b]

Obviously immunohistochemistry is critical although in Fig 4 I tried to illustrate an intracytoplasmic lumen. The tumor expressed vascular makers and is a spindle cell angiosarcoma.

[size=2]Submitted on 23/03/2012 19:33[/size]
[b]Marie MD - () Wrote:[/b]

Malignant, poorly differentiated. Agree with ddx mentioned (SCC, MM, LyoSarc,...) and need for immuno panel

[size=2]Submitted on 22/03/2012 20:47[/size]
[b]Zena Slim (SpR Histopath) - Wessex Deanery () Wrote:[/b]

Spindle cell SCC vs Melanoma . Immuno needed

[size=2]Submitted on 22/03/2012 14:31[/size]
[b]Izzat Abdul-kadir - ST2 - York Hospital (UK) Wrote:[/b]

Spindle-cell SCC.

[size=2]Submitted on 21/03/2012 21:50[/size]
[b]Marcela M. Escanamé - Medical University of Graz (Austria) Wrote:[/b]

Melanoma vs Undifferentiated SCC vs AFX. Immuno mandatory....

[size=2]Submitted on 21/03/2012 21:00[/size]
[b]Richard Carr - Warwick (UK) Wrote:[/b]

We take a much more conservative approach to the AFX/superficial cutaneous sarcoma NOS differential in this clinpath setting i.e. p63 & pan-keratin cocktail (carcinoma); S100 melanoma; CD10 (AFX/cutaneous sarcoma NOS). We only do the others if it looks like a angiosarcoma, leiomyosarcoma, lymphoma etc. That said the chances of something exotic are greatly increased on this site!! Loved the glomeruloid haemangioma. Regards to all.

[size=2]Submitted on 21/03/2012 19:40[/size]
[b]Maria Antonia Pastor - () Wrote:[/b]

Spitzoid melanoma

[size=2]Submitted on 21/03/2012 17:25[/size]
[b]Graham Reilly - PEH (Guernsey) Wrote:[/b]

Malignant spindle cell tumour.I favour Melanoma but I agree requires staining to differentiate from other tumours as mentioned by all.

[size=2]Submitted on 21/03/2012 16:44[/size]
[b]Rodrigo Restrepo - UPB/CES (Mdlln/Col) Wrote:[/b]

Melanoma

[size=2]Submitted on 21/03/2012 16:15[/size]
[b]Omar ErdoÄŸan - () Wrote:[/b]

Leiomyosarcoma.

[size=2]Submitted on 21/03/2012 15:54[/size]
[b]Juan Carlos Garcés - Hospital Oncológico / Hospital Luis Vernaza (Guayaquil Ecuador) Wrote:[/b]

My first thought melanoma

[size=2]Submitted on 21/03/2012 15:24[/size]
[b]ANDREW DANCKWERTS - (JOHANNESBURG, RSA) Wrote:[/b]

HIGH GRADE MALIGNANT NEOPLASM. IN VIEW OF THE AGE AND SITE OF THIS NEOPLASM, THE FOLLOWING DIFFERENTIAL DIAGNOSES REQUIRE CONSIDERATION: (1) LEIYOMYOSARCOMA; (2) SPINDLE CELL MELANOMA; (3) POORLY DIFFERENTIATED SPINDLE CELL CARCINOMA; (4) ANGIOSARCOMA; (5) MERCKEL CELL CARCINOMA; & (6) AFX - BY EXCLUSION. ***************** ONE WOULD REQUIRE AN EXTENSIVE IMMUNOHISTOCHEMICAL STAINING PANEL TO DIFFERENTIATE BETWEEN THESE ENTITIES.

[size=2]Submitted on 21/03/2012 14:44[/size]
[b]Sasi Attili - (United Kingdom) Wrote:[/b]

This is a poorly differentiated tumour. I would do immunos including EMA, CK, S100, CD 34,CD 31, CD 10, LCA, Vimentin, Actin, Desmin

[size=2]Submitted on 21/03/2012 14:26[/size]
[b]Yüksel Okumuş - Bursa State Hospital (Turkey) Wrote:[/b]

Agree with Mona. The other DD : Angiosarcoma

[size=2]Submitted on 21/03/2012 13:56[/size]
[b]Marcela Saeb Lima - INCMNSZ (Mexico City) Wrote:[/b]

Angiosarcoma vs melanoma

[size=2]Submitted on 21/03/2012 13:43[/size]
[b]Eman El-Nabarawy - (Egypt) Wrote:[/b]

Angiosarcoma.

[size=2]Submitted on 21/03/2012 13:39[/size]
[b]Mona Abdel Hali - () Wrote:[/b]

Undifferentiated SCC. Diff diagnosis: melanoma. Immumo is mandatory

[size=2]Submitted on 21/03/2012 13:28[/size]

Share this comment


Link to comment
share_externally


×
×
  • Create New...