Case Number : Case 467 Posted By: Guest
Please read the clinical history and view the images by clicking on them before you proffer your diagnosis.
Submitted Date :
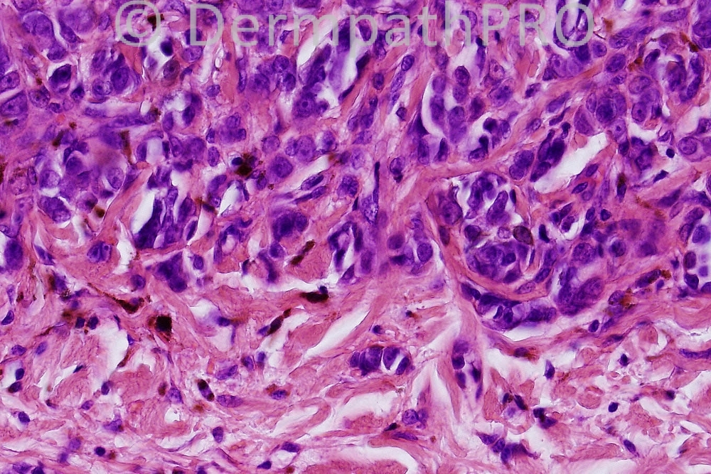
Female 17 years, pigmented lesion on arm.

User Feedback