Jump to content
In this section we have spot diagnoses posted on a daily basis since June 2010, now over 4000! You can review the archived cases and read the suggested diagnoses by users and the final comment by the contributors.
Case are uploaded each week day by 10 am UK time with the correct diagnosis will generally be posted at 8 pm UK time. Why not view the most recent spot diagnosis and proffer a diagnosis?

Case Number : Case 470 Posted By: Guest

Please read the clinical history and view the images by clicking on them before you proffer your diagnosis.
Submitted Date :
   (0 reviews)

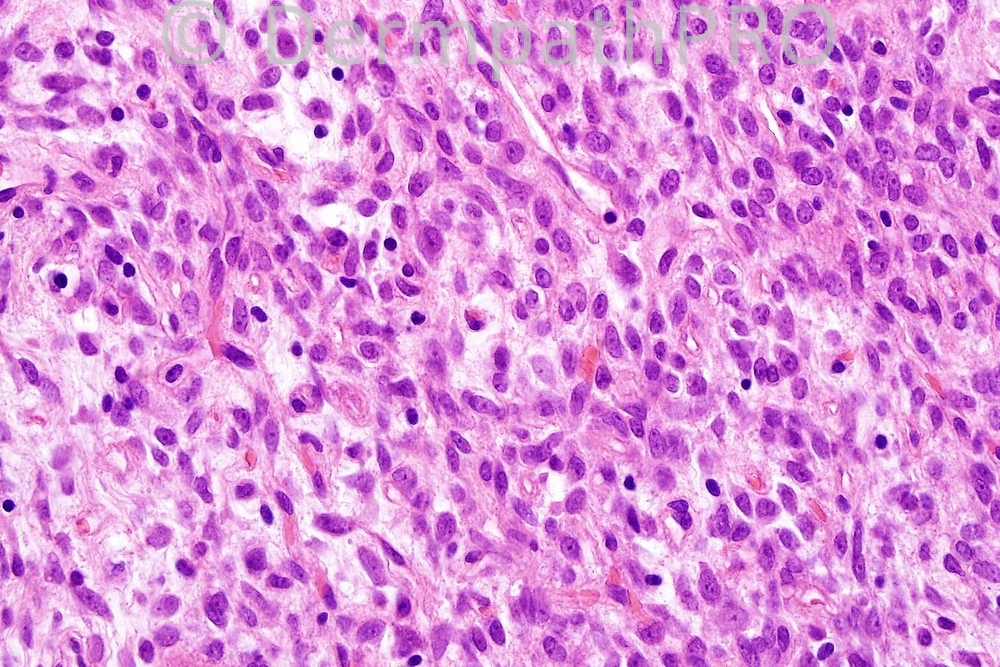
Male 56 years, nodule on arm.


  Report Record

User Feedback


Admin_Dermpath

Posted

[b]Hazem Hamed - Deprtment of Histopathology, Imperial College (London) Wrote:[/b]

Sorry I meant DR Phillip McKee.

[size=2]Submitted on 30/03/2012 11:25[/size] [b]Hazem Hamed - Department of Histopathology, Imperial College (London) Wrote:[/b]

Phillip McKee. I would like to consider the possibility of pleomorphic hyalinising angioectatic tumour of soft parts. I think careful examination (edge of tumour, more angiectatic vessels,.....). Also this tumour is strongly positive for CD34.

[size=2]Submitted on 30/03/2012 11:23[/size] [b]Phillip McKee - Overseas Consultations (Cave Creek, Arizona, USA) Wrote:[/b]

Those of you who diagnosed solitary fibrous tumor can go to the top of the class!!! This was a very difficult case. The tumor is typified by a random spindled cell bland infiltrate devoid of any real pattern. A storiform growth pattern for example would be very much against the diagnosis. In the top two figures, cellular and hypocellular foci are shown. This is a typical feature. The hyalinization often having a star-like appearance is a very useful clue to the diagnosis. Many examples have a hemangiopericytomatous vasculature which wasn't really evident in this case. the tumor cells showed very strong CD34 expression.

[size=2]Submitted on 29/03/2012 05:22[/size] [b]Pablo Ortega - (Loja-Ecuador) Wrote:[/b]

low grade fibromyxoid sarcoma?

[size=2]Submitted on 29/03/2012 00:02[/size] [b]Rodrigo Restrepo - UPB/CES (Mdlln/Col) Wrote:[/b]

Solitary fibrous tumor

[size=2]Submitted on 28/03/2012 23:02[/size] [b]Marie MD - () Wrote:[/b]

solitary fibrous tumor

[size=2]Submitted on 28/03/2012 17:44[/size] [b]Izzat Abdul-kadir - ST2 - York Hospital (UK) Wrote:[/b]

There are vessels surrounded by "hyaline" surrounded, in turn, by monomorphic, small oval cells. I would bet on a solitary fibrous tumour. Is CD34 positive?

[size=2]Submitted on 28/03/2012 17:28[/size] [b]Eman El-Nabarawy - (Egypt) Wrote:[/b]

Solitary fibrous tumor.

[size=2]Submitted on 28/03/2012 17:11[/size] [b]Mona Abdel Halim - Dermatology Dept. Cairo Univ. (Egypt) Wrote:[/b]

I thought of solitary fibrous tumor.

[size=2]Submitted on 28/03/2012 16:29[/size] [b]Zena Slim (SpR Histopath) - () Wrote:[/b]

I would think of a GLOMUS TUMOUR and do IHC. DD- Glomangiopericytoma, Myopericytoma and Solitary fibrous tumour

[size=2]Submitted on 28/03/2012 15:40[/size] [b]Richard Carr - Warwick (UK) Wrote:[/b]

The dreaded soft tissues! Like suggestion of ancient schwannoma and OFMT (very much!) Probably latter (I have personal little experience). Cellular angiofibromas can show these ancient vascular changes too.

[size=2]Submitted on 28/03/2012 12:52[/size] [b]Yüksel Okumuş - Bursa State Hospital (Turkey) Wrote:[/b]

Solitary fibrous tumor. The second possibility is ancient schwannoma

[size=2]Submitted on 28/03/2012 12:12[/size] [b]ANDREW DANCKWERTS - (JOHANNESBURG, RSA) Wrote:[/b]

OSSIFYING FIBROMYXOID TUMOUR (OFMT) OF SOFT TISSUE.

[size=2]Submitted on 28/03/2012 12:07[/size]

Share this comment


Link to comment
share_externally


×
×
  • Create New...