Case Number : Case 495 Posted By: Guest
        Please read the clinical history and view the images by clicking on them before you proffer your diagnosis.
    
    
              	
					Submitted Date : 
              	
                
            
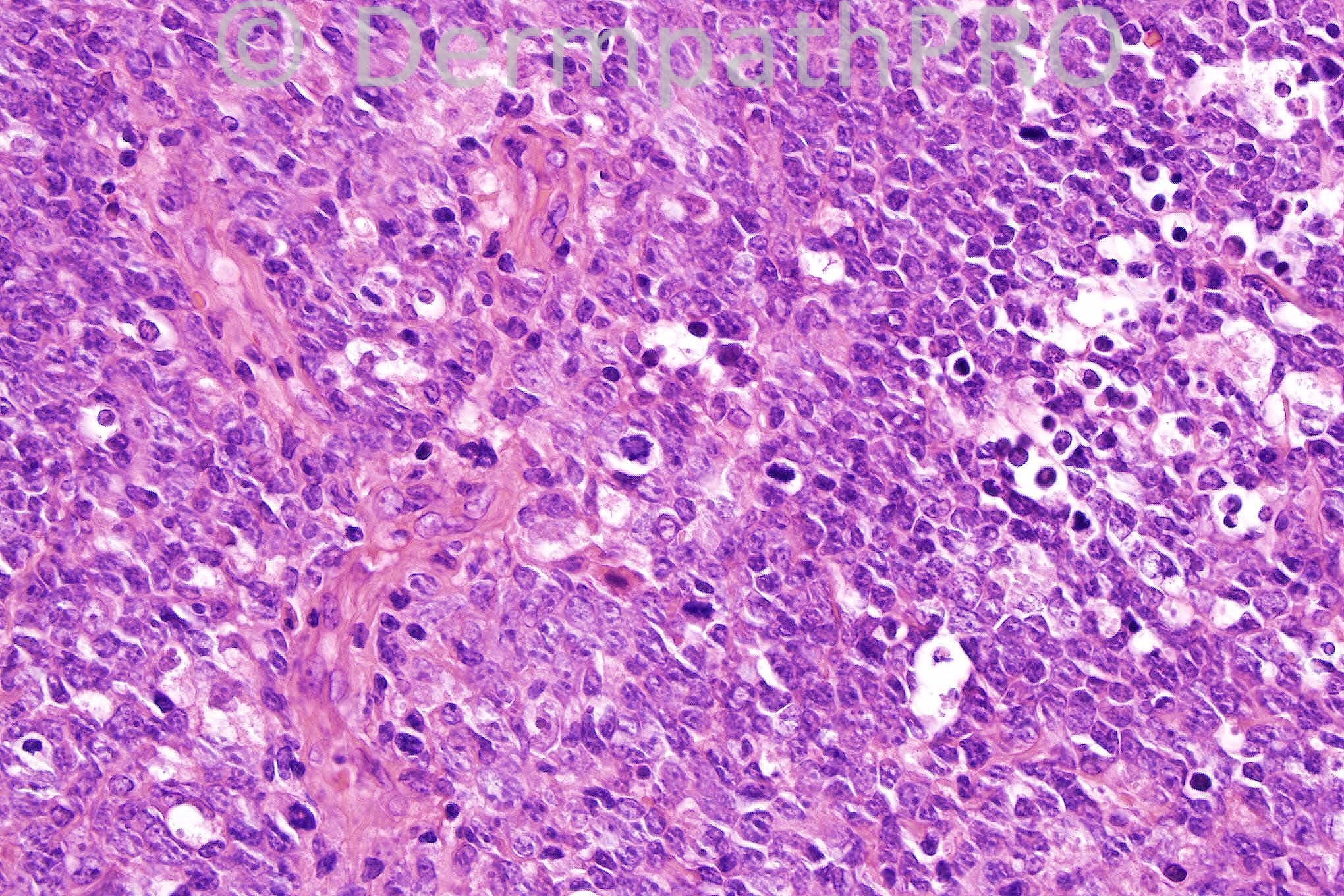
            Female 73 years, previous tumour on lower limb, recurrence after three years.

 
               
               
               
              
User Feedback