Case Number : Case 497 Posted By: Guest
        Please read the clinical history and view the images by clicking on them before you proffer your diagnosis.
    
    
              	
					Submitted Date : 
              	
                
            
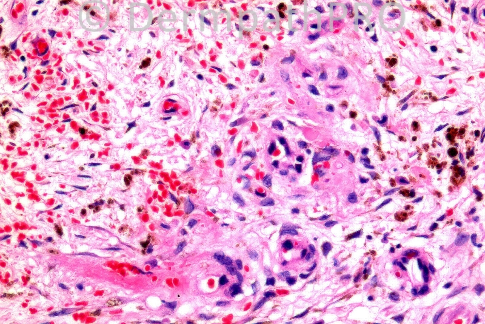
            Male 85 years, lower legs, haemorrhagic keratotic lesions right lower inner leg. Chronic intermittent right ankle swelling. ?Kaposi's sarcoma.

 
               
               
               
              
User Feedback