Jump to content
In this section we have spot diagnoses posted on a daily basis since June 2010, now over 4000! You can review the archived cases and read the suggested diagnoses by users and the final comment by the contributors.
Case are uploaded each week day by 10 am UK time with the correct diagnosis will generally be posted at 8 pm UK time. Why not view the most recent spot diagnosis and proffer a diagnosis?

Case Number : Case 501 Posted By: Guest

Please read the clinical history and view the images by clicking on them before you proffer your diagnosis.
Submitted Date :
   (0 reviews)

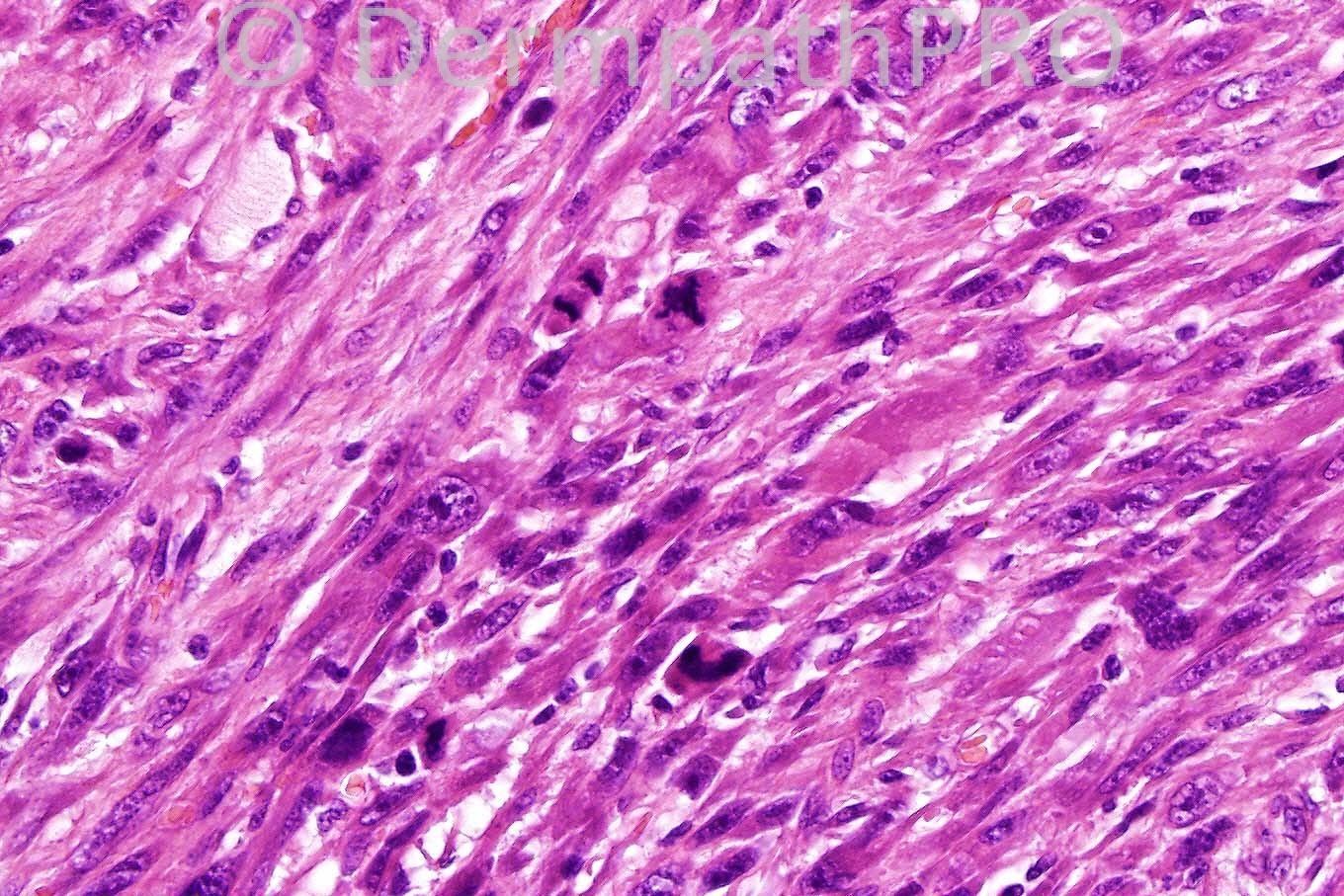
Female 92 years, lesion right cheek.


  Report Record

User Feedback


Admin_Dermpath

Posted

[b]Richard Carr - Warwick (UK) Wrote:[/b]

Najla asks (in case 502) how we should classify this tumour if it has an infiltrative pattern, but only superficial infiltration of the subcutis. My view is that it should be labelled cutaneous sarcoma NOS and a comment made that there may be a small risk for metastasis (if infiltration is only superficial). Eduardo Calonje, Thomas Brenn and colleagues have collected a series of deeply invasive "cutaneous pleomorphic sarcomas" with a metastatic rate of 10% (recent up-date lecture). I think the bottom line is the more infiltrative the tumour and the deeper extent of subcutaneous invasion the greater probability for metastatic potential (not to mention vascular invasion). We have collected a small number of cases (unpublised) of otherwise immunophentypically typical AFX confined to the dermis but with infiltrative ("superficial spreading") borders - how these should be classified I really don't know! Up till now AFX with pushing margins confined to the dermis or only superficial pushing subcutaneous involvement have not been reported to metastasise.

[size=2]Submitted on 12/05/2012 01:59[/size]
[b]DAVID J. MORAN PORTELA - CAMPECHE STATE ONCOLOGY CENTER ((MEXICO)) Wrote:[/b]

MALIGNANT SPINDLE-CELL NEOPLASM(DESMOPLASTIC MELANOMA VS LEIOMYOSARCOMA). DD AFX. IHC: HMB-45, S-100, SM ACTIN AND CALDESMON.

[size=2]Submitted on 10/05/2012 17:47[/size]
[b]Richard Carr - Warwick (UK) Wrote:[/b]

Well done again the was a case of AFX (immunostains must be performed - I usually limit my panel to CD10 diffuse in AFX and negative S100, pan-keratin and p63 for typical cases). Lesion must of course be circumscript with only superficial pushing subcutaneous involvement. DFSP does not usually present in this way and the tumour is far to pleomorphic in any case. Regards to all.

[size=2]Submitted on 10/05/2012 17:06[/size]
[b]Eman El-Nabarawy - () Wrote:[/b]

AFX.

[size=2]Submitted on 10/05/2012 16:41[/size]
[b]Azza Mostafa - (Egypt) Wrote:[/b]

favour AFX rather than malignant fibrous histiocytoma for CD99 & CD74

[size=2]Submitted on 10/05/2012 15:29[/size]
[b]Mona Abdel Halim - () Wrote:[/b]

Agree with all DDx, favor AFX

[size=2]Submitted on 10/05/2012 15:06[/size]
[b]Engin Sezer - (Istanbul) Wrote:[/b]

Spindle cell (SCC, melanoma, AFX, angiosarcoma, leiomyosarcoma). Requiring immunohistocehmistry.

[size=2]Submitted on 10/05/2012 13:28[/size]
[b]Yüksel Okumuş - Bursa State Hospital (Turkey) Wrote:[/b]

Atypical Fibroxanthoma or high grade pleomorphic sarcoma.

[size=2]Submitted on 10/05/2012 13:04[/size]
[b]Izzat Abdul-kadir - ST2 - York Hospital (UK) Wrote:[/b]

Malignant spindle-cell neoplasms for IHC.

[size=2]Submitted on 10/05/2012 12:29[/size]
[b]Marcela Saeb Lima - INCMNSZ (Mexico City) Wrote:[/b]

AFX vs melanoma

[size=2]Submitted on 10/05/2012 12:10[/size]
[b]Wilber J. Martínez - CES University (Medellín-Colombia) Wrote:[/b]

Atypical Fibroxanthoma

[size=2]Submitted on 10/05/2012 11:11[/size]
[b]SAMEH ABDEL KODOUS - ALAZHAR FACULTY OF MEDICINE (CAIRO EGYPT) Wrote:[/b]

SPINDLE CELL MELANOMA/DFSP FOR MELAN-A/ TYROSINAS/ HMB-45

[size=2]Submitted on 10/05/2012 11:10[/size]
[b]A Bansal - BCU HB (North Wales) Wrote:[/b]

Favour AFX (atypical fibroxanthoma). DD: spindled SCC, desmoplastic MM. IHC: pancytokeratins, S100 protein, HMB45, CD68.

[size=2]Submitted on 10/05/2012 10:56[/size]

Share this comment


Link to comment
share_externally


×
×
  • Create New...