Case Number : Case 514 Posted By: Guest
        Please read the clinical history and view the images by clicking on them before you proffer your diagnosis.
    
    
              	
					Submitted Date : 
              	
                
            
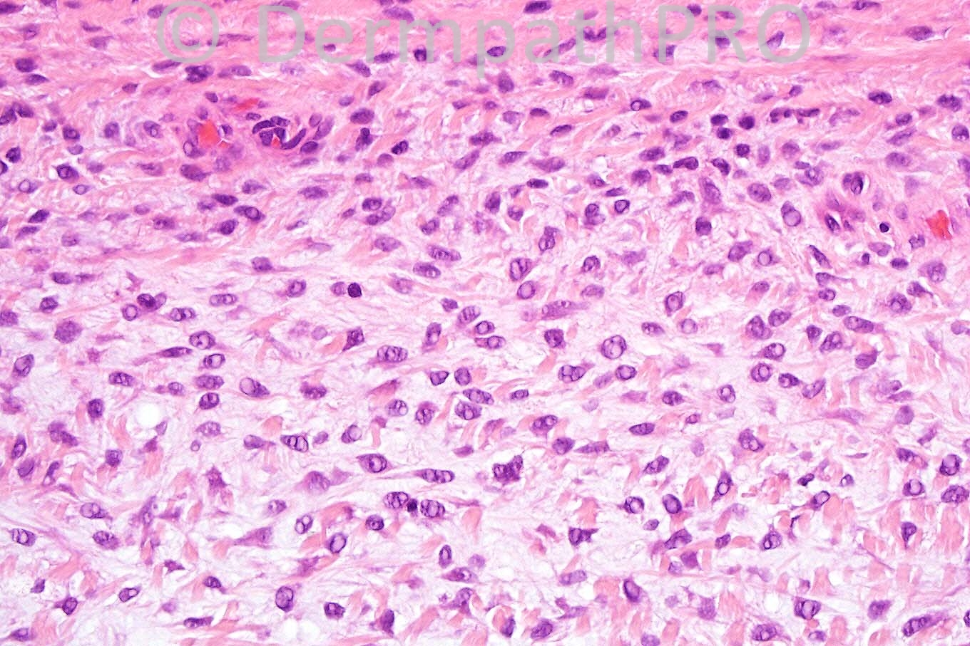
            Male 15 years, lesion on eyebrow ? Pilomatrixoma, dermoid cyst.

 
               
               
               
              
User Feedback