Case Number : Case 619 - 23 Oct Posted By: Guest
Please read the clinical history and view the images by clicking on them before you proffer your diagnosis.
Submitted Date :
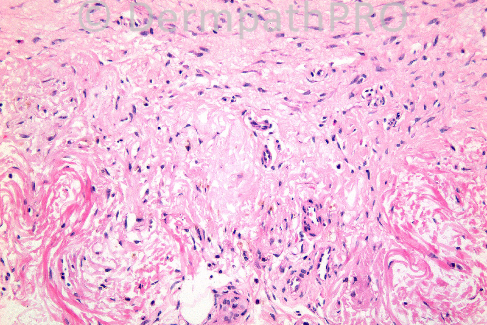
Female 76 years, develops unusual tethered areas on arms at site of fentanyl patches for rheumatoid arthritis.

User Feedback