Case Number : Case 583 - 3 Sept Posted By: Guest
Please read the clinical history and view the images by clicking on them before you proffer your diagnosis.
Submitted Date :
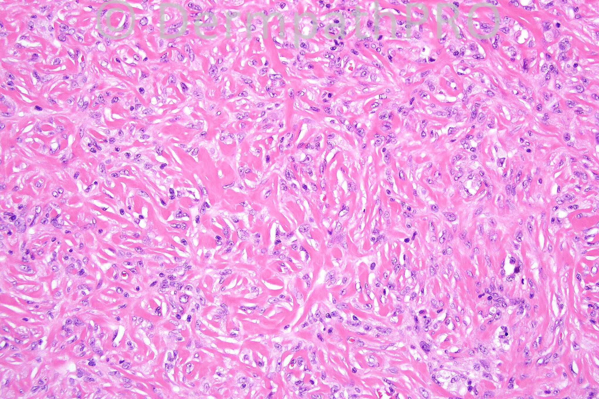
Female 34 years with a polypoid nodule on the leg thought clinically to be a Spitz nevus.Â

User Feedback