Case Number : Case 599 - 25 Sept Posted By: Guest
Please read the clinical history and view the images by clicking on them before you proffer your diagnosis.
Submitted Date :
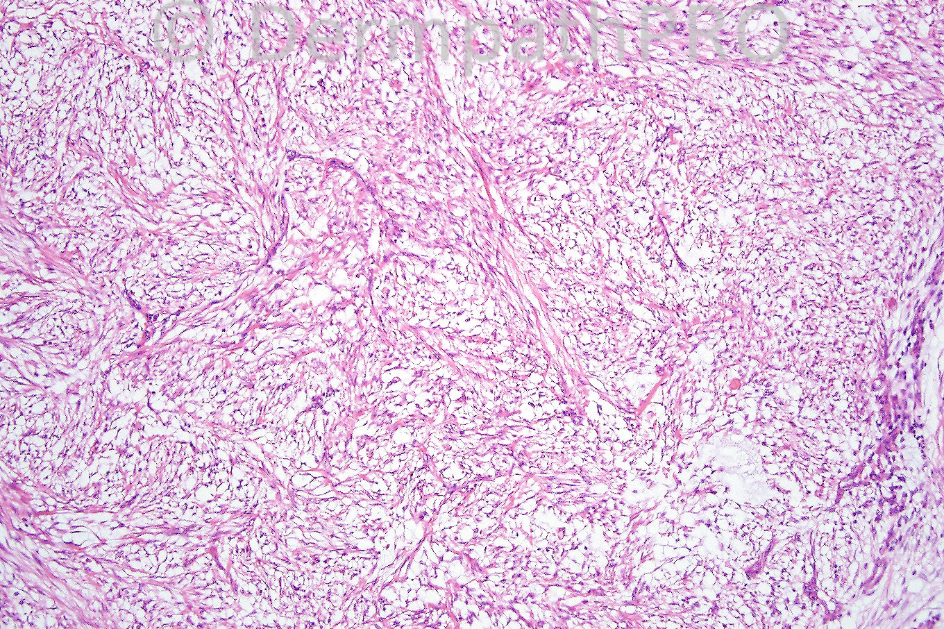
Male 2 years with a nodule on the scalp.

User Feedback