Case Number : Case 602 - 28 Sept Posted By: Guest
Please read the clinical history and view the images by clicking on them before you proffer your diagnosis.
Submitted Date :
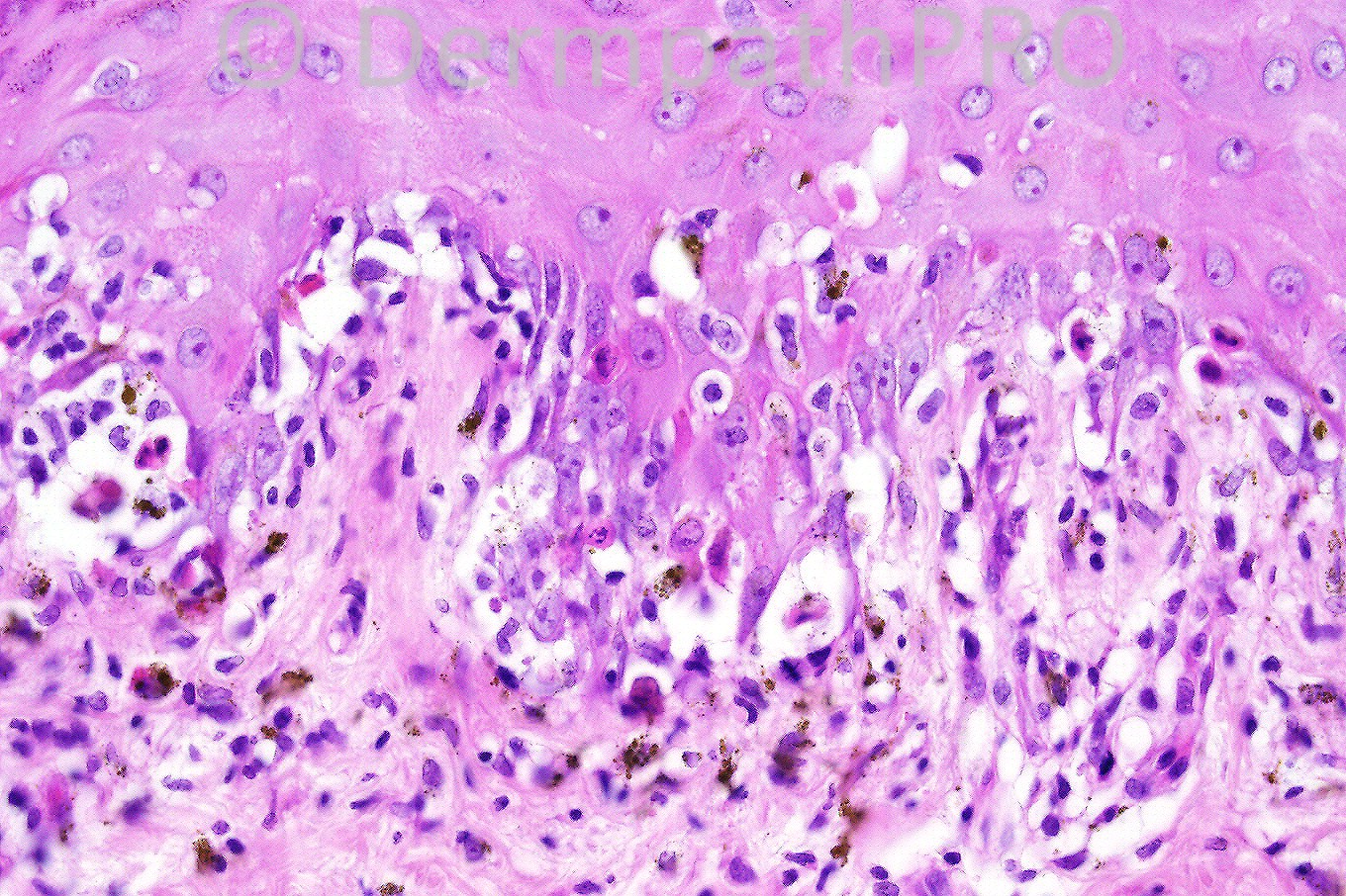
Female 35 years who presented with erythematous lesions. Past history of herpes infection.

User Feedback