Case Number : Case 732 - 5 Apr Posted By: Guest
Please read the clinical history and view the images by clicking on them before you proffer your diagnosis.
Submitted Date :
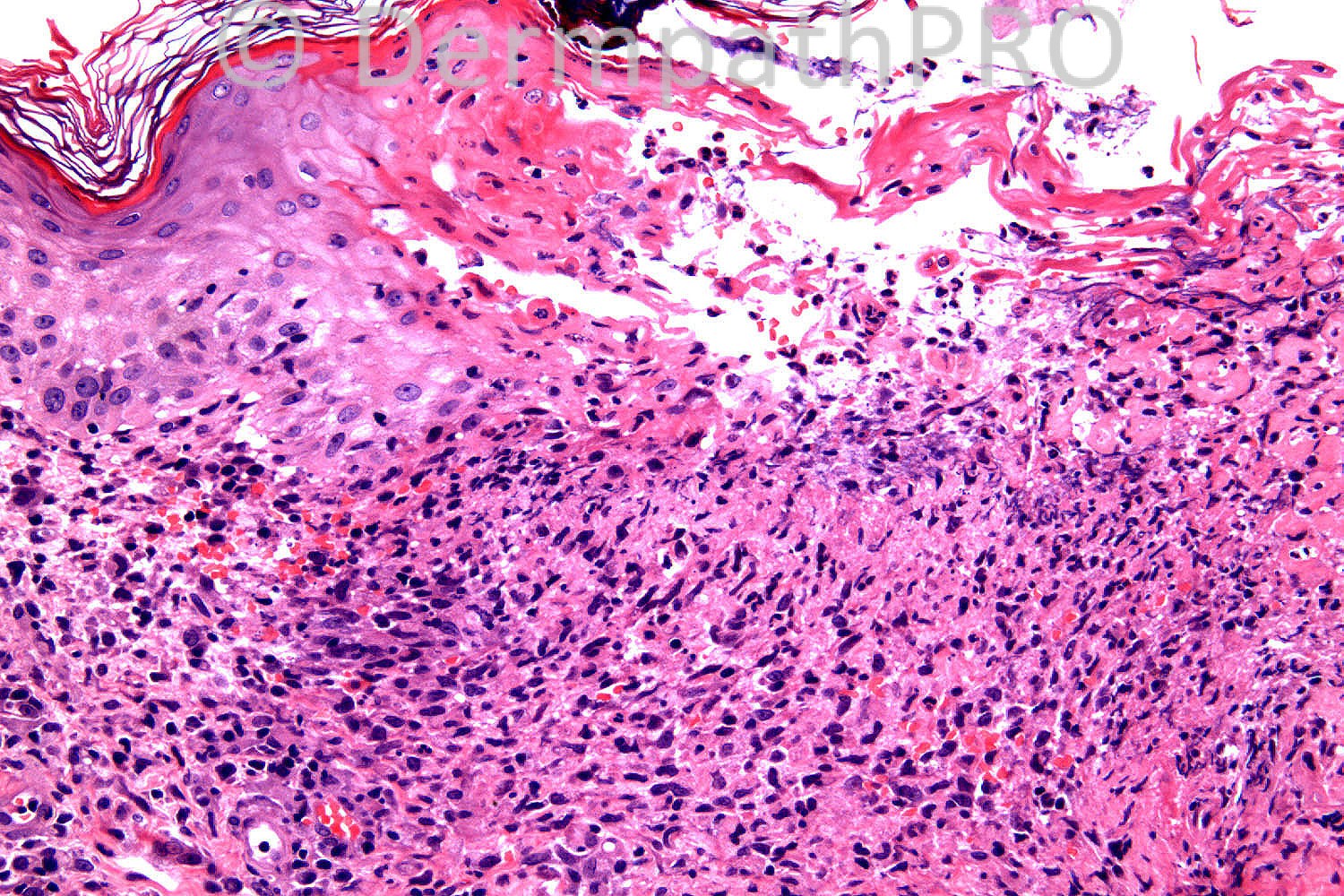
68 years-old female. 2 year history of itchy rash on buttock. Cropped pustules. ?DH.
Case posted by Dr. Richard Carr
Case posted by Dr. Richard Carr

User Feedback