Case Number : Case 743 - 22 Apr Posted By: Guest
Please read the clinical history and view the images by clicking on them before you proffer your diagnosis.
Submitted Date :
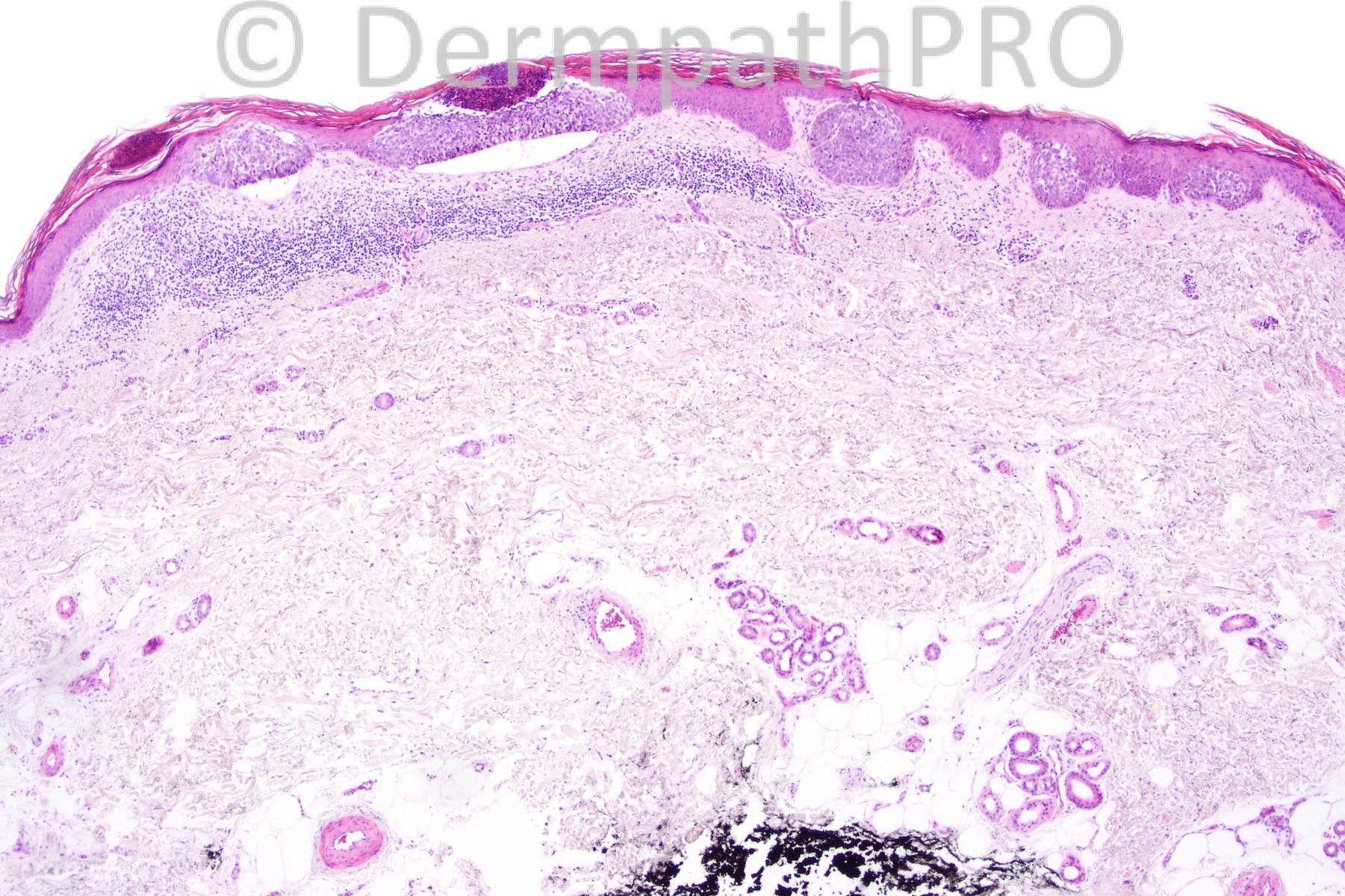
Female 56 years with a pigmented lesion on lower leg.

User Feedback